精准“拆弹”,微创治愈!青岛市第八人民医院脑科中心成功应用血流导向装置治疗复杂脑动脉瘤
大众新闻·半岛新闻 2025-12-16 09:05:29原创
半岛网12月15日讯 (记者 纪豪杰)近日,青岛市第八人民医院脑科中心贺西亮主任团队连续独立完成多例高难度神经介入手术——脑动脉瘤血流导向装置置入术,以微创方式成功治愈多位复杂动脉瘤患者。
血流导向装置置入技术是治疗颅内动脉瘤的前沿微创介入技术,核心是靠植入密网支架重塑血流来治愈动脉瘤。它通过股动脉穿刺将高金属覆盖率的密网支架送入载瘤动脉并覆盖瘤颈,既能大幅减少流入瘤腔的血流、促使瘤内形成血栓,其支架结构还能像“脚手架”一样促进血管内皮细胞生长,最终封闭动脉瘤开口使其完全闭塞。
相较于传统方法,该技术尤其适合处理大型、宽颈、梭形等复杂的动脉瘤,避免了常规填塞的困难,具有创伤小、恢复快、复发率低的显著特点。
贺西亮主任团队近期完成的三例手术,充分展现了该技术的良好效果与团队的精湛技术:
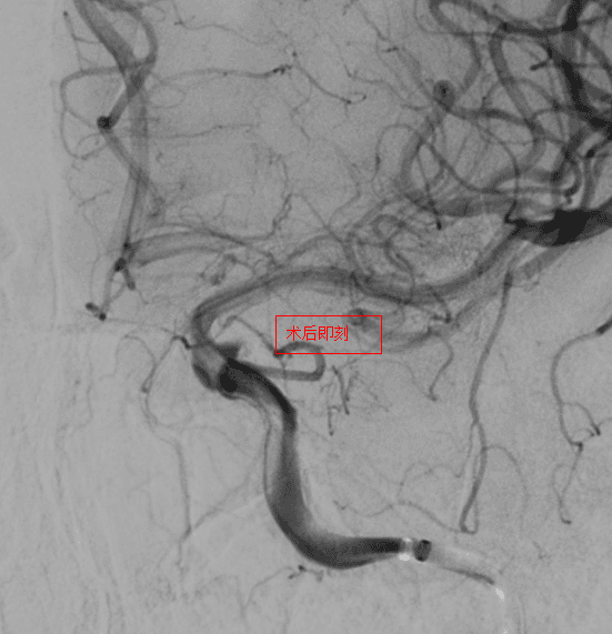
第一例手术的患者确诊为眼动脉动脉瘤合并后交通段动脉瘤,属于多发复杂动脉瘤,治疗难度倍增。团队通过置入血流导向后,动脉瘤内即可形成造影剂滞留,手术过程30分钟,患者术后2天出院。



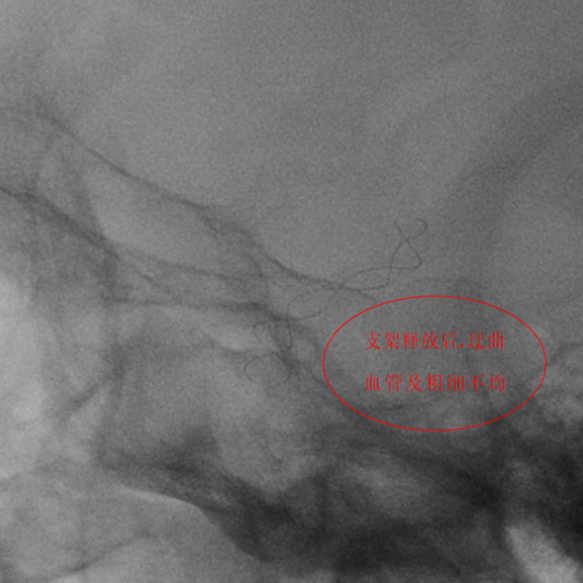
第二例患者为左侧大脑中动脉动脉瘤,该部位血管解剖结构复杂,对手术的精准度要求极高。团队使用血流导向装置,支架完美打开及贴壁,患者术后3天顺利出院。



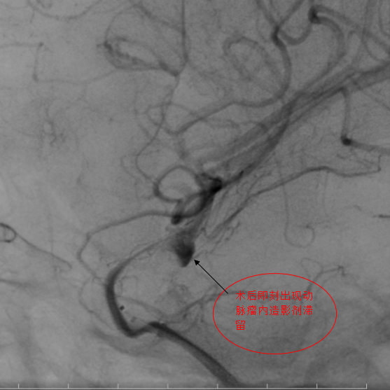
第三例患者确诊为后交通动脉瘤伴近端血管狭窄,双重病变增加了手术难度。团队选择合适尺寸血流导向装置,支架完美打开,即刻动脉瘤内出现造影剂滞留,患者术后2天出院。



此项技术的成功开展,要求手术团队具备解决大型、宽颈、特殊位置等复杂动脉瘤的能力及术前、术后的诊疗能力。贺西亮主任带领团队,联合麻醉科、介入手术室等多部门进行详尽的术前讨论与准备,为每位患者制定个体化手术与护理方案,确保了治疗过程的顺利与患者的快速康复。
对患者而言,意味着无需转诊即可在本地接受针对复杂动脉瘤的“根治性”微创治疗——相比传统手术或栓塞,能以更小创伤(仅股动脉穿刺)、更低复发率(降至5%以下)、更短恢复周期,解决过去难以处理的病情,同时减少二次治疗的风险和负担,为脑血管健康提供更可靠的保障。
脑科中心简介
青岛市第八人民医院脑科中心设置在本部院区,具体包括神经外学组、神经内学组、介入学组和神经康复学组等,是山东省卒中学会卒中防治中心、青岛市医学会脑血管病分会副主任委员单位、青岛市医学会神经内科和神经外科分会副主任委员单位、青岛市中西医结合学会神经内科分会和老年医学会脑血管病分会副主任委员单位、青岛市李沧区卒中中心、北京天坛医院第三批卒中建设联盟单位。
脑科中心开通24小时卒中救治绿色通道,静脉溶栓卒中小组、神经外科手术组和神经介入治疗小组24小时值班,随时抢救急性卒中病人。此外,卒中小组和医院急诊科、院前120急救、社区医院密切合作,成立了卒中救治的院前、院内和院后三级救治网络。
脑卒中中心重点开展的亚专科专业:缺血性脑卒中的介入微创治疗,脑出血的微创治疗,网膜下腔出血的动脉瘤栓塞和开颅夹闭复合手术,遗传性和罕见脑血管病的诊治,脑卒中的早期康复治疗。中心每年收治各类脑卒中病人3000例以上,其中超早期静脉溶栓病例60例以上,每年完成神经介入手术(造影+介入治疗)400例以上,其中急诊介入治疗和开颅手术100例(急诊取栓、急诊动脉瘤栓塞、各类急诊脑出血手术)以上。经桡动脉脑血管造影、急性脑梗死动脉取栓术、缺血性脑血管病的颅内外动脉支架植入术和动脉瘤栓塞等介入手术治疗水平较高。
脑科中心成立急诊神经科,卒中绿色通道24小时畅通,静脉溶栓小组、神经外科手术组和神经介入治疗小组可随时抢救急性卒中病人,全天候开通为卒中急救服务。
脑科中心与北京天坛医院建立远程会诊,解决疑难卒中病人的诊治难题。
脑血管病治疗的特色技术:急性脑梗死静脉溶栓、全脑血管造影、颅内动脉取栓、颅内外动脉支架植入、颅内血肿清除术、去骨瓣减压术、侧脑室引流术、动脉瘤栓塞术、开颅动脉瘤夹术,以及遗传性和罕见脑血管病诊治,脑卒中早期康复治疗。
专家简介

贺西亮,副主任医师,脑科中心(兼介入手术室)主任,卒中中心执行总监
社会兼职:山东省卒中学会卒中微创治疗分会副主任委员、山东省老年医学学会脑血管病专业委员会常务委员、山东省疼痛医学会脑血管病专业委员会常务委员、山东省卒中学会脑静脉疾病分会委员、山东省老年学与老年医学学会神经修复专业委员会委员、山东省中西医结合学会神经介入专业委员会委员、山东省患者安全管理协会脑血管病专业委员会委员。
擅长领域:从事脑血管病神经介入诊疗工作20年,涵盖出血、缺血性脑血管病,精通脑动脉瘤、脑动静脉畸形、硬脑膜动静脉瘘等栓塞术,急性脑梗塞脑动脉取栓术,脑动脉慢闭再通术、脑动静脉狭窄支架置入术等,对于复杂危重神经系统疾病综合救治积累丰富经验。
科研、荣誉:在研青岛市医学会课题1项,军队医疗成果三等奖1项,军队科技进步三等奖1项,青岛市科技进步二等奖1项,核心期刊学术论文多篇。

季朝亮,主任医师、教授,脑科中心副主任
社会兼职:环渤海半岛帕金森专业委员会常委、山东省脑血管病防治协会委员、山东省老年医学研究会第一届癫痫专业委员会委员、山东省老年医学会第一届帕金森病及运动障碍疾病专业委员会委员、山东省疼痛研究会老年病专业委员会委员。
擅长领域:从事神经内科学临床与科研二十余年,尤其擅长神经内科常见病、多发病的诊断与治疗。
科研成果:在国家、省部级以上医学杂志发表医学论文十余篇,主编参编论著三部,科研两项。

刘坤,医学硕士,主任医师,原神经内一科主任。
社会兼职:青岛市医学会神经病学分会副主任委员、山东省医学会神经内科分会第四届委员、青岛市医疗事故及残疾鉴定委员会专家组成员。
擅长领域:擅长脑血管病、中枢神经系统感染、锥体外系统疾病、肌肉疾病、癫痫、眩晕、头痛及睡眠障碍、痴呆等各种神经内科疾病的诊治。

于召虎,副主任医师,脑科中心神经外科主任
社会兼职:山东省医学会神经外科学分会第七届委员会、脑血管病学组委员、山东省疼痛医学会第二届神经脊柱脊髓专业委员会委员、山东省医学会神经外科学分会第八届委员会脑血管病学组委员、山东省卒中学会微创分会常委。
擅长领域:从事颅脑肿瘤及脑血管疾病的手术及神经介入治疗。擅长颅脑损伤、颅内肿瘤、脊髓疾病、三叉神经痛临床诊断和治疗。手术治疗重型颅脑损伤、脊髓空洞症、脊髓肿瘤、动脉瘤破裂出血、高血压脑出血、三叉神经痛。微创治疗脑动脉狭窄、颅内动脉瘤、脑动静脉畸形、三叉神经痛、急慢性缺血性脑卒中等疾病。
科研成果:完成科技核心期刊论文十余篇,SCI论文1篇,副主编论著2本。

于敦波,副主任医师,脑科中心神经内科主任
社会兼职:山东省急诊神经介入委员会委员、山东省神经介入委员会委员、青岛市神经内科委员会委员。
擅长领域:从事神经内科工作近30年,对神经内科各种常见病,多发病及各种少见病均有很深的造诣。尤其擅长各种脑血管病的诊断,药物及介入治疗。
责任编辑:孙贴静
