从 “僵硬受限” 到 “灵活自如”,青岛市市立医院东院“双术合一”重启灵动肘关节
大众新闻·半岛新闻 2025-12-17 16:27:20原创
半岛网记者 张家瑞 通讯员 谢小真
近日,青岛市市立医院骨科中心东院骨关节外科医护团队用一场高难度手术和术后精心守护,为桡骨小头粉碎性骨折患者重启“灵动肘关节”,重新回归正常生活。这场跨越“破碎”与“重生”的救治,既是一次高难度医学挑战的成功突破,更是“以患者为中心”服务理念的深刻践行。
意外突至,肘关节功能告急
生活中的意外往往猝不及防。对于市民张先生(化名)而言,一次意外事故让他的左肘部遭遇了“毁灭性”打击——摔倒瞬间,肘部受力,剧烈的疼痛让他当场无法活动手臂。
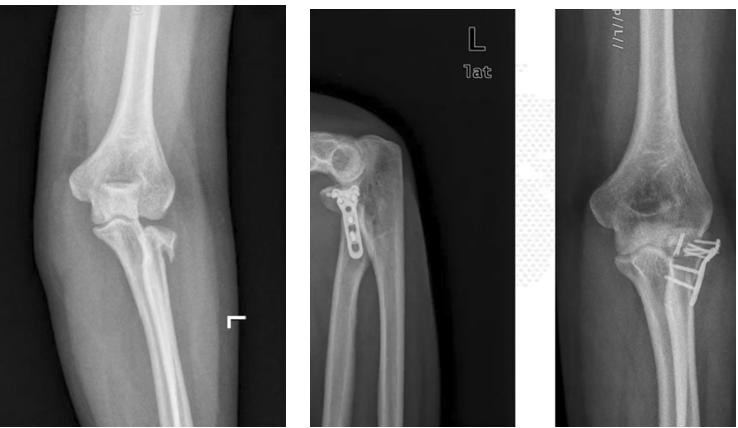
在异地就诊,张先生被确诊“桡骨小头粉碎性骨折”,随后紧急实施手术。术后1个半月复查时,张先生出现严重肘关节伸屈和旋转功能障碍,X线发现钢板固定的骨折发生明显的移位。
伤后X线发现桡骨小头粉碎性骨折及术后1.5月发现钢板固定后的桡骨小头再次错位
“置换+松解”双术合一
身处异地的张先生迅速返回青岛,来到东院骨关节外科副主任医师申友亮的门诊就诊。接诊的那一刻,申友亮敏锐察觉到病情的复杂性——陈旧性桡骨小头粉碎性骨折合并肘关节僵硬,不仅骨折端移位明显,长期的制动还导致周围软组织严重粘连、挛缩,手术难度远超常规骨折修复。
考虑手术难度大,青岛市市立医院党委书记、总院长、骨科专家于腾波,东院骨关节外科主任戴世友组织科内多轮病例讨论:保守治疗已无法修复粉碎的桡骨头结构,也不能解除软组织粘连,反而可能因长期固定加重关节僵硬。解决问题的关键,在于如何在重建桡骨头结构、恢复关节稳定性的同时,最大程度解除软组织粘连、保留肘关节活动度。
经与患者及家属的充分沟通,团队确定了“桡骨小头置换术+肘关节松解术”的一站式手术方案——既解决桡骨头的结构缺损问题,又同步解除软组织粘连,实现“修复+功能恢复”双重目标。
手术过程历时1.5小时,主刀医生申友亮始终保持着“零误差”的操作精度——微创切口减少了术中出血,取出破碎的桡骨小头,安放人工桡骨小头假体。精准的假体匹配和松解操作避免了神经血管损伤,手术过程顺利。
术后,患者肘关节不仅重新拥有了“稳定轴心”,还解除了软组织的“束缚”,为术后康复做好了充分准备。
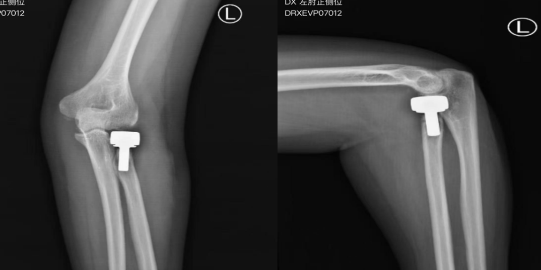
手术中切除粉碎性桡骨头及安装的桡骨头假体
手术后X线示桡骨头安放位置良好
暖心护航,伴随康复每一步
手术的成功只是康复的第一步,术后的精心护理和科学康复,同样决定着最终的治疗效果。护理团队为张先生制定了个性化的护理计划:从“被动屈伸”避免肌肉萎缩,到“主动收缩”增强肌肉力量,严格把控每一个动作的角度、力度,坚持循序渐进的原则启动功能训练。
在“医-护-康”模式的支持下,患者康复进度远超预期——术后1个月能自主穿衣、吃饭,肘关节屈伸范围接近正常水平,前臂旋转功能完全正常。
张先生为申友亮送来锦旗
以医心守初心,以医术护健康
从疑难病例的精准研判,到高难度手术的成功实施,再到术后康复的全程陪伴,青岛市市立医院东院骨关节外科团队以精湛的医术和温暖的关怀,破解了陈旧性骨折合并关节僵硬的医学难题,驱散了患者心中的绝望与焦虑。
未来,医院将继续依托强大的专家团队和精湛的医疗技术,为更多骨科疾病患者带来康复的希望,用医者的初心与匠心,守护每一个生命的灵动与尊严。
责任编辑:张家瑞
