宁阳县第一人民医院特色诊疗心脏磁共振:让“异样心动”清晰可见
大众报业·齐鲁壹点 2025-12-22 11:34:05
心血管疾病作为威胁人类健康的“头号杀手”,具有复发性高、致死率高等特点。精准的影像学评估对于疾病的早期诊断、预后判断及治疗指导至关重要。心脏磁共振检查能够在45分钟到1小时内,多方位、多角度展示心脏的细微动态,为临床心脏疾病的诊断提供了有力的依据。
什么是心脏磁共振检查
据宁阳县第一人民医院医学影像科业务主任刘志强介绍说,心脏磁共振(Cardiac Magnetic Resonance,CMR)具有多参数、多序列成像特点,可同时对心脏的解剖结构、运动功能、心肌血流灌注、组织成分等进行“一站式”评估,在心衰、缺血性心肌病、非缺血性心肌病以及心脏瓣膜病、心包占位等疾病的诊断中具有重要价值。
相较于其他影像学检查,CMR具有无创、软组织对比度高、不使用电离辐射等优点。
医院选派多名骨干赴首都医科大学附属安贞医院进修心血管影像诊断技术,并取得结业证书。目前,相关技术已在我院顺利开展。

心脏磁共振检查的优势有哪些
一、高分辨率成像,软组织对比度高
清晰区分心肌、心内膜、瓣膜及冠状动脉壁,可发现微小病变(如心肌微梗死灶);
三维立体成像:多平面重建(MPR)技术提供心脏解剖结构的精准评估(如先天性心脏病、肿瘤定位)。

(四腔心电影序列)
二、多功能一体化评估
结构与功能同步分析:同时获取心脏收缩/舒张功能(EF值、室壁运动)、血流速度及瓣膜反流程度;
心肌活性检测:延迟增强(DE-MRI):识别心肌梗死区域(高信号)、瘢痕组织及存活心肌(低信号);
血流动力学研究:相位对比法(PC-MRI):定量分析血流速度、方向及瓣膜功能(如二尖瓣狭窄)。

(三腔心电影序列)
三、疾病特异性诊断能力
心肌病精准分型:区分扩张型、肥厚型、限制型心肌病及致心律失常性右室心肌病(ARVC);
炎症与感染评估:心肌炎患者可见局部水肿(T2WI高信号)及强化异常;
肿瘤与占位性病变:非侵入性鉴别心脏良恶性肿瘤(如脂肪瘤、纤维肉瘤)。

(两腔心电影序列)
心脏磁共振检查的适用范围
刘志强表示,心脏核磁共振(CMR)适合需要评估心脏结构、功能或血流情况的特定人群,尤其是其他检查(如超声、CT)无法明确诊断时。常用于结构性心脏病、心肌病、心肌炎、先天性心脏病、心脏肿瘤、冠心病及心功能不全等疾病的精准诊断和随访。

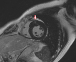
(箭头所指右心室上插入部及前间隔壁增厚的心肌中层存在延迟强化影,提示心肌纤维化)
冠心病:心脏磁共振检查可清晰显示心肌灌注情况,判断心肌是否存在缺血、梗死区域,对于评估冠心病病情严重程度、心肌存活情况等有重要意义,有助于制定后续治疗方案,如是否适合进行血管再通治疗等。
心肌病:能准确鉴别不同类型的心肌病,如扩张型心肌病、肥厚型心肌病、限制型心肌病等。通过观察心肌的厚度、运动、信号强度等,为心肌病的诊断、分型及病情监测提供关键信息。
心肌炎:通过T2压脂序列可清晰显示心肌水肿,结合延迟强化序列判断心肌损伤范围,帮助医师评估心肌炎患者(特别是青少年患者)的急性期炎症程度及恢复期是否出现心肌纤维化,指导下一步治疗。
心脏瓣膜病:可详细观察心脏瓣膜的形态、结构和活动情况,准确测量瓣膜口面积、瓣叶厚度等参数,评估瓣膜狭窄或关闭不全的程度,辅助制定治疗策略,决定是否需要手术干预。
先天性心脏病:能清晰显示心脏的解剖结构异常,如心房、心室间隔缺损的位置、大小,以及大血管的连接关系等,为先天性心脏病的诊断和手术方案的制定提供重要依据。
心脏肿瘤:有助于明确心脏肿瘤的位置、大小、形态、与周围组织的关系,判断肿瘤的性质是良性还是恶性,对制定治疗方案和评估预后至关重要。

心脏磁共振检查前患者需要注意什么
控制心率,使用β受体阻滞类药物,降低心率(最好在80次/分以下)。
如无必要,禁止服用其他影响心率的药物(多巴酚丁胺、肌苷除外)。
因检查时间较长,避免饱食及膀胱充盈。
患者应取下所有含金属样物品,避免穿带首饰、金属扣及拉锁衣物。
检查前练习呼气后屏气,尽量保持呼吸度一致(无法配合者保持稳定呼吸)。

温馨提示
刘志强提醒,以下情况为心脏磁共振检查禁忌:
非磁共振兼容的心脏起搏器或植入式心脏除颤器是CMR检查的绝对禁忌症,以及其他MR兼容性不明的有源设备、铁磁植入物或情况不明的动脉瘤夹;
位于眼睛内或邻近敏感组织(大的神经或血管)的金属碎片,体内有任何已知MR不安全的植入物;
对钆对比剂过敏或肾功能不全者不能进行心脏磁共振增强检查;
幽闭恐惧症;
早期妊娠(3个月以内)妇女应该避免磁共振扫描;
心力衰竭不能平卧、严重心律不齐者及屏气不佳者;
危重患者需要使用生命支持系统(如呼吸机、心电监护仪)者。
注意:目前大部分心脏支架(非铁磁性或弱铁磁性)植入不是禁忌症。
科室简介
宁阳县第一人民医院医学影像科是泰安市卫生健康临床重点学科,是集临床医学影像、教学和科研为一体的综合型科室。科室拥有GE宝石能谱超高端CT、西门子Difinition AS+ 64排128层螺旋CT、GE 3.0T 750超导磁共振、GE HID 1.5T超导磁共振、GE直接数字摄影(DR)、锐柯双板DR、飞利浦C50 DR、西门子多功能数字胃肠机两台、GE钼铑双靶X线机、齿科全景X线机等先进的高科技诊疗设备,及英菲达PACS系统、粟海科技自动阅片系统、联影AI及云胶片系统。

对全身各系统疾病的诊疗,尤其是乳腺、肺结节等疾病的影像研究具有较高诊断水平。近几年来,相继开展了冠状动脉CTA、脑功能成像、CE-MRA、乳腺MR诊断、MR灌注成像等技术。

科室常规开展CT低剂量肺癌筛查、无创性CT冠状动脉造影诊断、头颈CTA及全身其他各部位CTA成像、脑梗死风险评估、小肝癌MRI诊断、前列腺MRI诊断PI-RADS评分、乳腺X线数字成像、乳腺MRI动态增强以及乳腺BI-RADS分类、心脏磁共振及心功能分析等。

近年来,科室不断开展乳腺影像检查、磁共振3D ASL、DCE磁共振对于早期小肝癌诊断、肺结节靶扫描、CT导向下穿刺活检术、肿瘤射频消融术等新技术新项目。定时邀请临床科室参加疑难病例讨论,深入交流,诊断符合率不断提高,为临床诊疗提供了更加准确的诊断信息。
(宁阳县第一人民医院)
(齐鲁晚报·齐鲁壹点客户端欢迎各界投稿,提供线索,包括文字、照片、短视频。泰安新闻素材请联系齐鲁晚报泰安融媒中心,热线电话:0538-6982110。)
责任编辑:赵晴
