6.5cm肿瘤从脖子爬入胸腔!青岛市市立医院多学科团队协作上演“拆弹”奇迹
大众新闻·半岛新闻 2025-12-23 17:33:25原创
半岛网记者 张家瑞 通讯员 丁潇东
“脖子上的‘肉疙瘩’竟从胸口‘爬’进胸腔,把气管压成一根吸管那么细!”近日,71岁的王女士(化名)在青岛市市立医院重获新生。一枚被她忽视长达11年的甲状腺肿瘤,竟已悄然“坠入”胸腔,将生命气道压迫至仅5毫米宽,形同吸管。青岛市市立医院多学科团队精密协作、2小时惊心手术,这枚“深水炸弹”被成功拆除。
11年忽视 小问题酿成夺命危机
11年前的一次体检,王女士便知甲状腺有肿物,因不痛不痒从未处理。直至近期出现严重呼吸困难、夜间无法平卧,检查才发现肿瘤已沿气管坠入胸腔深处,紧贴主动脉弓。气管最窄处仅剩5毫米,随时可能窒息。

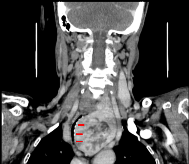
术前CT显示,气管最窄处仅5mm,形似“吸管”
面对这颗位置极深、风险极高的“炸弹”,甲状腺外科主任李敏迅速牵头多学科会诊。团队通过三维重建技术,精准“导航”肿瘤与周围重要结构的关系;与该院甲状腺疾病诊疗中心首席专家房居高教授进行远程会诊,敲定最终方案。

麻醉手术科制定了纤支镜引导下超细气管插管跨越狭窄区的方案,并预备了体外循环这一终极生命支持手段,为手术上了“双保险”。胸外科、血管外科、重症医学科全程待命,随时应对术中突发状况。
2小时惊心操作 完整剥离“炸弹”
手术台上,麻醉团队首先在纤支镜直视下,将气管导管精准穿过狭窄段,为手术建立了安全的生命通道。随后,李敏团队开始了精细如绣花般的操作:精准控制胸骨后供血血管,沿肿瘤包膜小心分离,成功避开了被推移的喉返神经及一条先天畸形的椎动脉。最终,一枚6.5厘米的巨大肿瘤被完整从胸腔后方的“隧道”中取出。

快速康复 3天即可步行出院
得益于精准微创的手术操作和完备的术后管理,患者恢复迅速。术后次日即拔除气管插管,声音清亮,无任何并发症。术后第3天,她便自行步行出院。“现在一口气能上三楼,终于能躺着睡个安稳觉了!”患者感激地说。

房居高、李敏术后查房
李敏提醒,甲状腺结节>4 cm或短期内增大,务必及时就诊;若出现气短、夜间憋醒、吞咽异物感,应立即做颈部CT评估气道。甲状腺结节即使无症状也需定期随访。一旦肿瘤向胸骨后生长或出现呼吸、吞咽不适等症状,务必及时就医,切勿拖延,以免酿成类似险情。
目前,青岛市市立医院甲状腺疾病诊疗科常规开展巨大甲状腺肿、胸骨后甲状腺肿瘤伴重度气道狭窄的个体化手术,甲状腺癌腔镜微创手术。未来,团队将持续推进快速康复(ERAS)路径,为“甲”友健康保驾护航。
责任编辑:张家瑞
