多学科联合化险为夷,青大附院平度院区成功救治胸腔肿瘤合并脑梗塞患者
医苑 | 2025-12-24 12:34:10
毛梓权来源:大众新闻·半岛新闻
近日,青大附院平度院区胸外科、呼吸与危重症医学科、麻醉科、神经内科、放射科、肿瘤内科、介入医学中心、病理科、急诊科等多学科协作,成功救治罕见胸腔肿瘤合并脑梗塞患者。

66岁的王女士因“胸痛伴胸闷憋气”来到青大附院平度院区急诊科就诊,随后被收治于呼吸与危重症医学科进一步治疗。经全面检查,治疗团队震惊地发现她的右侧胸腔内长有一个罕见的大肿瘤,已严重压迫心肺组织,如不及时干预,后果不堪设想。面对患者的严重病情,呼吸与危重症医学科立即组织多学科会诊,经综合评估,手术切除肿瘤成为解除患者病痛、挽救生命的唯一途径。
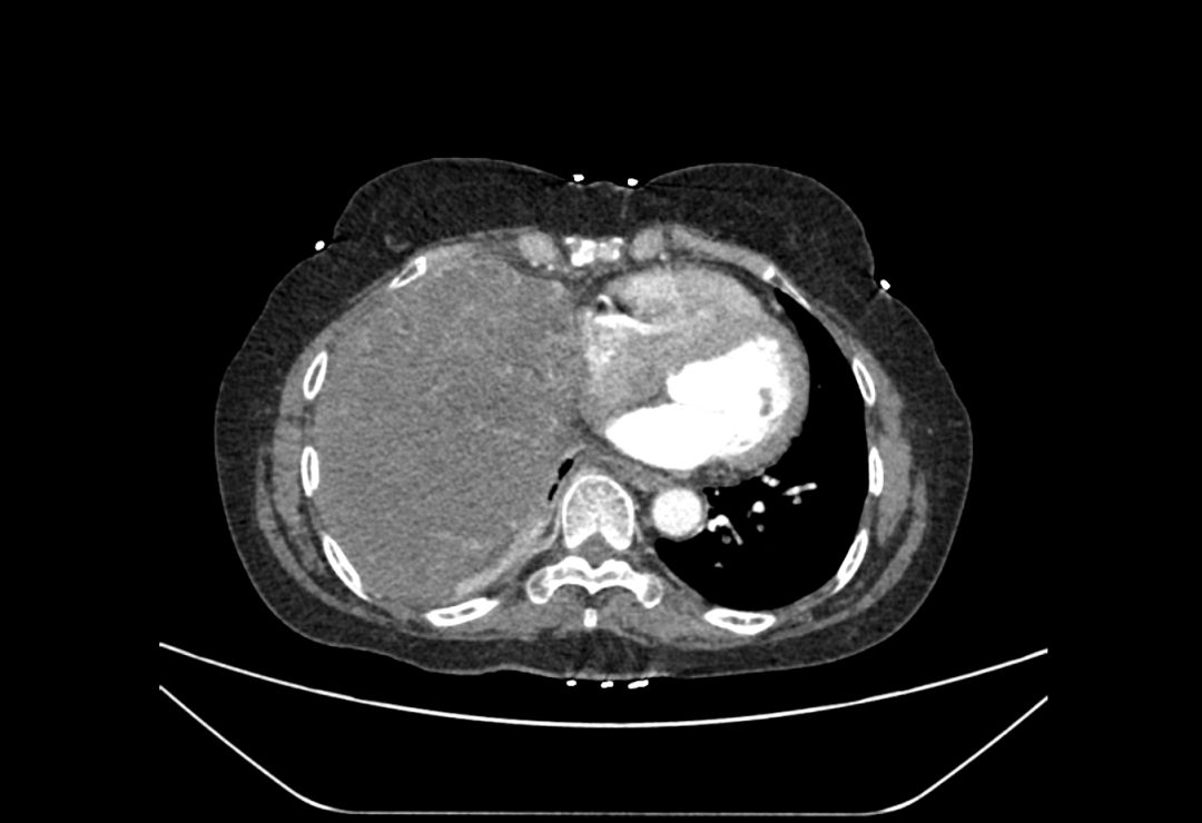
CT检查显示肿瘤占据患者整个右侧胸腔
令治疗团队棘手的是,患者不仅年事已高、肿瘤体积大,更合并脑梗塞、椎动脉重度狭窄,这无疑大幅提升了麻醉与手术风险,对治疗团队的技术水平和协同能力提出了更高要求。胸外科副主任、病区主任刘玉洪带领团队扛起救治重担,在患者转入胸外科病区后,第一时间联合麻醉科、神经内科、放射科、肿瘤内科、介入医学中心、病理科等进行了多学科会诊(MDT)。多学科专家围绕围手术期脑保护、血压精准调控、手术入路及应急预案等关键环节进行了反复推敲与周密部署,为患者制定了安全可行的个体化手术方案。
术中,刘玉洪主任团队在麻醉科及手术室医护团队的协助下,凭借丰富的手术经验,精准游离患者肿瘤与周围重要组织粘连,成功将大小约25cm×15cm的右侧胸腔大肿瘤完整切除。术后,患者身体恢复顺利,未出现神经系统及心肺相关并发症,现已康复出院。
此次高难度、高风险手术的成功实施,不仅彰显了青大附院胸外科在复杂胸腔肿瘤外科治疗领域的技术水平,更展现了平度院区在急危重症抢救方面的综合实力。青大附院将持续依托多学科协作优势,不断提升急危重症患者救治能力,为患者提供更加高质量的诊疗服务。
(半岛全媒体记者 毛梓权)
责任编辑:毛梓权
