青岛西海岸新区中医医院肛肠科健康提醒,长期便秘,别忽视身体的“红色警报”
大众新闻·半岛新闻 2026-01-13 17:19:51原创
半岛网记者 纪豪杰
便秘,很多人不放在心上的“小毛病”,却可能隐藏着健康“警报”,在青岛西海岸新区中医医院肛肠科,近期接连收治的三位患者给出了截然不同的答案。

从便秘到紧急手术,被忽视的“肠道危机”
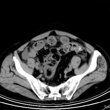
70岁的赵大叔长期便秘,但总觉得“上了年纪都这样”从未进行系统检查。直到在家中排便困难,出现腹痛并加剧才来到青岛西海岸新区中医医院肛肠科就医。 检查结果令人震惊: CT显示腹腔有游离气体,高度怀疑肠穿孔。


急诊手术中,医生发现他的结肠部位已发生恶性肿瘤并导致了穿孔。经过紧急肿瘤切除和肠道造口手术,在重症监护室恢复近一周时间才逐渐病情稳定。但后续仍需进行化疗。
长期便秘并出现腹痛加重、腹胀、消瘦等症状,一定要警惕肠道肿瘤的可能性。肠穿孔是急症,延误可危及生命!
一次肠镜,扭转命运,早期发现的幸运
45岁的孙女士因便秘就诊,在家人劝说下为排查便秘原因接受肠镜检查,结果在直肠发现一枚肿瘤,病理确诊为神经内分泌瘤。幸运的是,因发现得早,已行内镜下切除,由于切除完整,切缘干净,评估后任务无需追加外科手术,定期密切随访即可。
李女士是“早筛受益者”的典型。肠镜是发现结直肠癌的最有力手段。建议40岁以上人群,尤其有家族史或长期肠道症状者,定期进行肠镜检查。
便秘背后的“隐形炸弹”,肿瘤早期切除
45岁的张先生因排便困难入院。肠镜检查中发现肠腔可见肿物,病理确诊为恶性肿瘤。瘤体较大,已错过了肠镜手术的最佳时机,遂行腹腔镜手术,术后恢复顺利。
幸运的是,因为发现得早,肿瘤分期属于非常早期。经过腹腔镜微创手术,恢复得很快,且术后病理显示无需化疗,定期复查即可。
许多结直肠癌由息肉演变而来,过程可长达5-10年。发现并切除息肉,就是阻断癌变的关键一步。排便困难是重要信号,切勿当成便秘而忽略。
肛肠科徐希印主任表示,便秘不是小事,尤其是新发、进行性加重的便秘,或伴有腹痛、便血、消瘦、贫血时,必须及时就医查明原因;肠镜是“侦察兵”,它能直观发现息肉、炎症、肿瘤等病变,并能同时进行治疗。早发现、早处理,结局天差地别;便血是红色警报,无论血量多少、颜色深浅,都应由医生判断是痔疮、息肉还是肿瘤所致;大家一定要重视筛查,一般风险人群,建议从45岁开始定期肠镜检查。有家族史或症状者,应更早开始。
肠道健康,关乎生命质量,倾听身体信号,摒弃侥幸心理,及时进行科学筛查,是对自己最负责任的投资,健康无小事,肠安心才安。
责任编辑:孙贴静
