平度一男子突发心梗倒地,暖心医护5分钟急救“抢”回心跳
大众新闻·半岛新闻 2026-01-15 16:55:33原创
半岛网记者 刘娇娇
“医生!医生!有人晕倒了!”一阵急促的呼救声打破了门诊大厅的安静……一名五十岁左右的中年男性刚踏入内二诊区,尚未来得及挂号,突然毫无征兆地摔倒在地,意识丧失。
正在看门诊的心内科刘茂月副主任医师闻声而动,第一时间到达患者身边,判断患者为呼吸心跳骤停,立即进行心脏按压。时间就是生命,一场与死神赛跑的“生命接力”就此拉开序幕。
5分钟内,抢回心跳
诊区的王田田、辛菲医生及邻近的心电图室护士孙璀娟及徐春霞携带心电图设备飞奔而至,在持续心肺复苏的间隙,快速为患者完成心电图检查并开通静脉通路。
“急性下壁心肌梗死!”心电图图形明确指向了这一心脏急症。几乎在同一时间,接到通知的急诊科抢救室护理团队宋雪敏等携带转运平车、心电监护仪抢救设备,急诊监护室携带气管插管急救包赶到现场参与抢救。医护们默契配合,精准执行每一项医嘱,监测仪上跳动的数字牵动着在场每个人的心,在持续心肺复苏并电除颤三次后患者恢复意识。

高效协作,绿色通道直通导管室
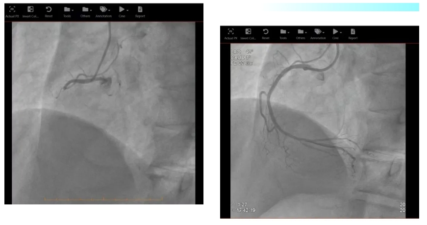
初步复苏成功后,患者被火速转运至急诊抢救室。结合临床表现与心电图,确诊为“急性ST段抬高型下壁心肌梗死”,必须立即进行介入手术,开通堵塞的“生命线”。
在完成必要的术前准备以及沟通后,由急诊科直接转运至心脏导管室,心内科刘茂月副主任医师主刀,医护团队凭借娴熟的技术,快速通过导丝、球囊扩张,成功于病变处精准植入两枚药物洗脱支架,血流瞬间恢复,患者的心脏得到了及时、有效的再灌注。手术过程顺利,术后患者生命体征逐渐趋于平稳。

转危为安,多学科协作为生命续航
术后,患者被转入心脏重症监护室(CCU)进行严密监护和后续治疗。在CCU团队的精心管理下,患者目前意识清晰,循环稳定,未出现严重并发症,顺利度过了急性危险期。此次从门诊突发倒地到手术成功,总时间(Door-to-Balloon Time)远低于国际标准,为心肌赢得了宝贵的存活时间,最大程度保留了心脏功能。
生命相托,分秒必争。这场惊心动魄的救援,不仅挽救了一个生命,更温暖了一个家庭,让爱与希望延续。这是平度市人民医院践行 “以患者为中心” 服务理念的真实写照,也是医院急危重症救治能力不断跃升的有力见证。今后,我们将继续秉承医者仁心,在守护生命的道路上步履不停,为百姓的健康保驾护航。
责任编辑:孙贴静
