六旬老人大量呕血!青岛三医“弹簧圈”技术及时拆除血管“炸弹”
齐鲁晚报·齐鲁壹点客户端 刁明杰 2026-01-16 15:31:39原创
2025年12月31日,一名62岁肝硬化患者王先生因突发大量呕血被送入青岛市第三人民医院,生命垂危。面对其胃底巨大静脉瘤合并“胃肾分流道”(SGRS)这一高危复杂病情,医疗团队果断实施“超声内镜引导下弹簧圈置入联合组织胶注射”技术。这项国内领先的微创介入技术,犹如在血管内进行了一场定位精准的“拆弹”手术,不仅挽救了患者生命,也标志着青岛市第三人民医院在复杂门静脉高压并发症诊治方面跻身国内先进水平。
命悬一线:
食管胃底静脉曲张再出血,合并复杂分流道
王先生长期患有肝硬化失代偿期、门静脉高压、脾功能亢进,曾于6个月前因食管胃底静脉曲张破裂出血接受过内镜治疗。此次入院时,他已呈现重度贫血(血红蛋白57g/L)、血压不稳、血小板严重低下及凝血功能障碍,情况极其危急。
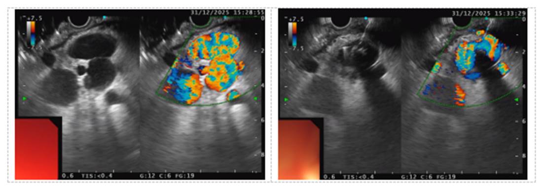
急诊内镜显示,患者食管静脉重度曲张,胃底情况更为复杂凶险:小弯侧可见粗大曲张静脉伴表面糜烂,疑为活动性出血点;大弯侧穹窿部则存在一直径约4厘米的巨大静脉瘤。进一步行超声内镜评估时,发现了一个致命隐患——“自发性胃肾分流道”(SGRS)。该异常血管通道在门静脉高压背景下形成,直接连接胃底曲张静脉与肾静脉,若按传统方法注射组织胶,极易导致胶体随血流异位栓塞至肺、脑等关键器官,引发致死性并发症。
决策突破:
技术创新,精准内镜介入方案
面对传统治疗的高风险与患者急剧恶化的病情,青岛市第三人民医院迅速启动消化道出血多学科协作(MDT)机制。经消化内科、重症医学科(ICU)、麻醉科专家紧急会诊与审慎评估,决定采用“超声内镜引导下弹簧圈联合组织胶注射”这一前沿方案。
“对于存在明显SGRS的患者,单纯组织胶注射犹如‘盲打’,异位栓塞风险极大。”主持本次手术的消化内科张宁主任解释道,“超声内镜能清晰‘透视’血管构造与血流动态,实现可视化精准干预;结合弹簧圈的植入,可像‘锚’一样稳定固位组织胶,显著提升治疗的安全性与有效性。”
精准手术:
可视操作,构筑稳固栓子
在ICU保驾护航下,手术于气管插管全麻中有序开展。团队首先借助纵轴超声内镜,如同配备“高清透视眼”与“血流导航仪”,精准锁定目标血管的位置、形态及血流信息。
在超声实时引导下,张宁主任经微细穿刺针将两枚微型弹簧圈准确送达目标血管,随后注入适量组织胶。弹簧圈迅速形成“钢筋骨架”,与凝固的组织胶(“混凝土”)紧密结合,在曲张静脉及异常分流道内构建起稳固的“钢筋混凝土”式栓子。超声屏幕上可见原活跃血流信号立即消失,表明出血源头被成功封堵。随后,团队对食管及其他胃底曲张静脉进行了套扎和加固治疗,一次性完成了多部位复杂静脉曲张的联合处理。
康复出院:
技术领先,区域诊疗新选择
术后患者出血即止,生命体征迅速稳定。经后续精心治疗与监护,王先生于一周后康复出院。
研究显示,肝硬化合并胃底静脉曲张患者中SGRS的发生率约为10.5%–21%。超声内镜引导下弹簧圈联合组织胶注射技术,以其精准可视、栓塞牢固、异位栓塞风险低的突出优点,已成为处理此类复杂高危病例的重要选择。
此次手术的成功开展,充分体现了青岛市第三人民医院消化内科在危急重症救治中的快速响应能力与高水平技术实力,不仅标志着青岛市第三人民医院在消化道出血微创介入领域取得重要突破,也意味着青岛市第三人民医院已具备处理极高难度门静脉高压并发症的硬核技术能力,为青岛及周边地区的复杂肝硬化患者提供更安全、更有效的治疗新路径。
专家介绍
张宁
主任医师,任中华医学会青岛消化内镜分会副主任委员,山东省内镜微创保胆常任理事,山东省医师协会内科医师分会委员,山东省医学会内镜学分会委员,中华医学会山东省消化介入诊疗学会委员,中华医学会青岛肝病学会委员,青岛市医学会资深专家委员会委员等。从业40余年,长期致力于消化系统疑难危重疾病的临床攻坚与高难度内镜介入技术的创新应用。
【核心领域】
1. 急危重症救治:危险性消化道出血、急性胆胰疾病、消化道梗阻的快速诊断与高效救治。
2. 早癌微创诊疗:消化道早癌的内镜下筛查与ESD/EMR微创治疗;胰腺癌早期筛查项目。
3. 肿瘤姑息治疗:晚期肿瘤所致梗阻、出血的内镜姑息治疗与综合支持治疗。
4. 复杂内镜技术:尤其擅长ERCP、超声内镜介入诊疗、食管胃底静脉曲张内镜诊疗、ESD/EMR、消化道支架植入、胃食管反流病贲门缩窄术等,技术功底极为深厚。
【学术引领】
率先在市内开展 “超声内镜引导下胃空肠吻合术(EUS-GE)”“超声内镜引导下门静脉压力梯度测定”等前沿技术,持续推动学科技术水平迈向新高地,引领区域消化内镜发展潮流。
专家门诊时间:每周一全天
董丽丽
主任医师,医学硕士
山东省医学会消化疾病协会委员
山东省内镜医师协会委员
山东省研究性医院内镜协会委员
山东省健康促进与教育学会痔病防治专业会委员
青岛市医学会内镜协会副主任委员
青岛市老年病协会副主任委员
青岛研究性医院内镜协会副主任委员
曾到北京协和医院,上海中山医院内镜中心,奥地利圣波尔滕内镜中心进修学习,对消化系统疾病常见病和疑难病症,如消化性溃疡,肝硬化,溃疡性结肠炎,胃食管反流,功能性胃肠病,幽门螺杆菌感染等有着丰富临床经验,熟练掌握胃肠镜的操作,特别擅长消化道出血急诊内镜下止血,胃肠早癌的内镜下治疗,ESD、EMR,息肉切除,放大胃镜诊断早癌,以及内痔的套扎等治疗技术,发表SCI文章4篇,主持并完成局级科研3项。
专家门诊时间:每周二全天,每周日上午
卞刚
青岛市第三人民医院消化内科副主任,副主任医师
任山东省医学会消化内镜分会第六届专业委员会委员
山东省医学会消化病介入诊疗分会第四届委员会委员
山东省医学会消化病学分会第八届委员会学术发展学组委员等
专业特长:幽门螺旋杆菌、消化性溃、消化道出血、慢性胃炎、功能性消化不良、急性胰腺炎等。胃肠道息肉的内镜下切除术、消化道异物取出术、消化道梗阻的内镜支架置入术等内镜微创治疗,尤其擅长消化道早癌的内镜诊治,胆石症的ERCP治疗和阑尾炎肠镜下联合子镜治疗。
专家门诊时间:每周三全天,每周五上午
朱良润
青岛市第三人民医院消化内科副主任
主治医师 曾任医务科管理骨干
现任山东省医师协会医师文化与人文建设专业委员会委员,青岛市医学会医护融合发展专科分会第一届委员会委员,青岛市预防医学会卫生应急专业委员会委员。曾获评首届院级优秀青年医师并完成培养计划,参加青岛大学医学院第十三届中青年教师教学大奖赛并获得中文组二等奖。掌握消化内科疾病规范化诊治,发表sci论文两篇,核心期刊论文1篇。
消化内科病房电话:0532-89076268
消化内科门诊电话:0532-89076388
内 镜中 心
电话:0532-89076525
大众新闻·齐鲁壹点 刁明杰
责任编辑:管慧晓
