一种让牙齿容易脱落的病,很多人年轻时不重视
央视新闻 2025-02-26 14:27:50
关于牙齿健康,世界卫生组织曾提出过一个“8020”概念,指80岁的老年人至少应该存留有20颗健康的天然牙。然而很多人在年轻时,缺失的牙齿已经超过3~4颗(正常人一般有28~32颗牙齿)。让牙齿容易脱落的罪魁祸首之一,正是牙周炎。
根据一项流行病学调查,35~44岁的成年人中,牙周炎的患病率超三成,55~64岁的成年人中这个比例接近八成。牙周炎,很多人年轻时不重视,等到掉牙了再开始重视,已经为时已晚。
牙周炎是什么?
在牙齿周围,牙龈、牙周膜、牙槽骨和牙骨质,合称为牙周支持组织。当牙周支持组织被感染发生炎症时,可能导致牙周炎。牙周炎发展非常缓慢,没有特别明显的急性症状,这也是很多人并不在意的原因。
牙周炎一开始出现的症状是:牙龈发红,刷牙时有点出血,啃一口苹果后发现留下一圈血印子。

如果不在意,牙龈开始退缩,牙齿缝显露出来。

之后,牙齿会出现松动,时不时有脓液流出来。
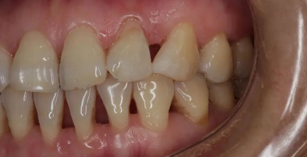
再后来,牙齿和牙齿之间的缝隙越来越大,而之前松动的牙齿开始摇摇晃晃,有的人还会出现牙痛。这时候吃药止痛,已经无济于事。随着牙周炎的进展,病变越来越深入牙龈深处。
△随着牙周炎的进展,病变越来越深入牙龈深处。
牙周炎是什么原因引起的?
牙龈炎通常由牙菌斑诱发,经治疗可以逆转。牙菌斑同样是牙周炎发生的始动因子,某些特定的牙周致病菌附着、入侵人体,进一步损害牙周组织,引起牙周炎。一部分人的牙龈炎症可向牙周深部组织发展,形成牙周炎。
牙菌斑可形成于口腔的任意部位,位于牙齿和牙龈交界处的牙菌斑危害最大,如果不及时清理,会逐渐增厚并持续刺激牙龈。
此外,制作不良的修复体比如贴面、牙冠等也可能形成难以清洁的卫生死角,进而增加炎症产生,导致牙龈附着的丧失和牙槽骨吸收。
牙周炎该怎么治?
牙周炎的治疗大致分以下5种:
■洗牙
洗牙最主要的步骤即“龈上洁治”,现在普遍使用“超声波”洁治工具来清洁牙齿周围的牙结石,这些牙结石和牙菌斑是导致牙周炎的病因。洗牙的频率取决于牙结石的形成速度,通常一年左右洗一次。

■刮治
牙周刮治,这项治疗主要针对的是牙结石,只不过这些牙结石存在的位置比较隐蔽,它们大量聚集在牙龈深处,仅仅通过“洗牙”很难彻底清洁。
■牙周手术
当局部刺激物处在更深处,单靠洗牙、刮治等基础治疗都无法解决全部问题,那就要进行手术。
牙周手术有很多类型,包括切除、重建、再生、成形及美学修复。通俗点说,就是把覆盖在牙齿周围的牙龈剥离下来,在直视下彻底清除牙齿周围的牙结石,最后把牙龈缝合回去。
■ 药物
药物治疗牙周炎,并不是首要的治疗方案,诸如甲硝唑、奥硝唑一类的抗菌药物,仅仅能缓解一下急性炎症。
另外,在牙周炎治疗中,药物通常不是用来吃的,漱口是常见的使用方法,另外一种则是把药物塞在牙齿周围的沟里,局部发挥抗菌作用。
■调磨、固定和拔牙
牙周炎经常伴随着牙齿的松动、移位,而移位的牙齿会造成咬合关系的紊乱,更容易加重牙周炎的症状。因此,医生会对移位的牙齿进行调磨、固定;对于留不住的牙齿,拔牙也是一种“治疗”。
预防牙周炎的发生,最好的方法就是做好口腔清洁,建议每天两次有效刷牙,每次刷2分钟以上,至少一次使用牙线清洁每一个牙缝。如果说一年来没有洗过牙,建议近期到口腔医院或者牙科诊所,做一次口腔检查。
(央视新闻)
责任编辑:崔可腾
