七旬老人气道仅剩“一线天”,青岛市市立医院多学科团队重建生命通道
大众新闻·半岛新闻 2025-04-07 17:05:45
半岛网4月7日讯 (记者 张家瑞)近日,青岛市市立医院胸部肿瘤内科主任郝月琴团队成功为一名70岁的呼吸衰竭病人进行了气道内Y型硅酮支架植入手术,标志着青岛市市立医院气管镜介入技术在气道狭窄诊疗方面再上新台阶。
七旬老人命悬一线 肿瘤堵住呼吸通道
70岁的王大爷(化名)因严重咳喘辗转多家医院,检查发现其主支气管被肿瘤压迫得仅剩不足30%的通气空间,血氧含量极低,随时可能窒息。
资料图片
入院时,王大爷已经面色青紫、呼吸艰难、三凹征明显,支气管镜下探查及活检结果显示,主气道重度狭窄且病变累及右侧主干,伴原发性肺鳞癌。
多学科会诊亮剑 定制“生命支架”方案
面对如此危重病情,郝月琴团队迅速联系医务科,启动多学科会诊,胸外科、肿瘤科、重症医学科、麻醉科专家联合会诊后达成共识:当务之急是尽快解决气道狭窄,病人才能有后续药物及放疗的机会!王大爷气道病变已经累及右侧主干,必须植入Y型支架,才能真正扩开“呼吸之门”。然而传统金属支架需要5天定制,患者病情根本等不起。危急时刻,团队决定采用可现场裁剪的Y型硅酮支架,这是青岛市市立医院从未开展过的高难度手术。


打赢手术攻坚战 创造生命奇迹
Y型硅酮支架植入过程中需要硬质支气管镜跨越狭窄段,期间一旦出现管壁撕裂或支架释放扭曲,都可能导致手术失败。为了尽可能降低手术风险,术前邀请麻醉科专家一起进行详细讨论,对各种可能发生的情况制定应急方案,并反复多次进行术前模型预演操作。

手术台上,麻醉科全程护航保障王大爷生命体征,郝月琴在硬质支气管镜下突破肿瘤阻塞,当量身剪裁的Y型支架精准撑开狭窄气道时,手术室爆发出激动人心的欢呼。术后王大爷成功脱离险境,后续治疗顺利进行。
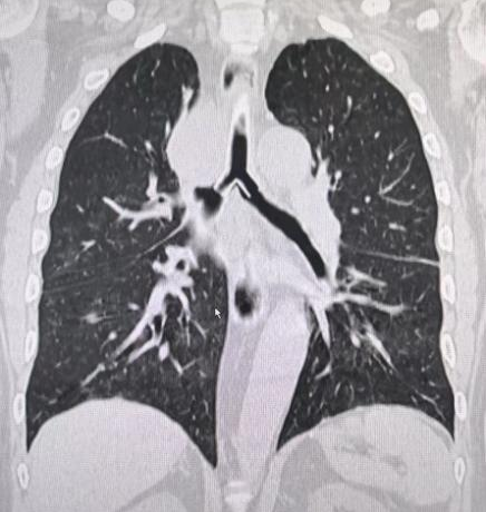
术前肺CT三维重建
术后一周复查
“生命之门”背后的硬核实力
Y型硅酮支架植入术的成功实施,为复杂气道疾病患者开辟了新的生机,更标志着青岛市市立医院急危重症救治能力迈上新台阶。从精准预判到多学科协作,从创新应用到风险把控,展现了青岛市市立医院“以患者为中心”的救治理念和敢为人先的技术追求。
责任编辑:张家瑞
