与时间竞速!东营市中医院成功救治急性肠系膜上动脉夹层患者
微观东营 | 2026-02-21 17:35:19 原创
近日,东营市中医院(东营市胜利医院)成功救治一名突发肠系膜上动脉夹层的青壮年患者。面对发病急、病情重、手术难度大的血管急症,医院多学科团队高效联动,各环节无缝衔接,在黄金救治窗内成功为患者打通生命通道,使患者转危为安。
剧烈腹痛背后的致命危机
上午8时许,一名45岁男性在上班途中突发剧烈腹部绞痛,伴有血压骤升,最高达210/120mmHg。患者被紧急送至医院急诊科时,面色苍白、烦躁难安,腹痛剧烈难以平卧,病情已十分凶险,急诊科医护团队快速反应,立即启动绿色救治通道,在监护、降压、镇痛的同时,迅速完成腹部CT平扫,影像提示“肠系膜上动脉增粗并周围脂肪间隙模糊,内见双腔”,高度怀疑急性肠系膜上动脉夹层。
多学科联手,打赢肠道保卫战
肠系膜上动脉夹层是一种极为凶险的血管急症,一旦真腔受压闭塞,可导致肠道急性缺血、坏死,死亡率极高。面对这一隐匿而致命的“血管炸弹”,医院立即启动多学科诊疗模式,医务科迅速靠前指挥,组织急诊科、介入外科、普外科、麻醉与围术期医学科等多学科专家紧急会诊,介入外科专家结合患者症状与影像学特征,果断建议行肠系膜上动脉CTA检查以明确诊断。

在多学科团队的全程监护下,患者迅速接受了腹部CTA检查,最终确诊为“急性孤立性肠系膜上动脉夹层”——这正是那个随时可能导致大范围肠坏死、腹腔大出血的“隐形杀手”。由于患者年轻且病情进展迅速,保住缺血肠道刻不容缓,多学科团队会商后,决定立即实施急诊介入手术。

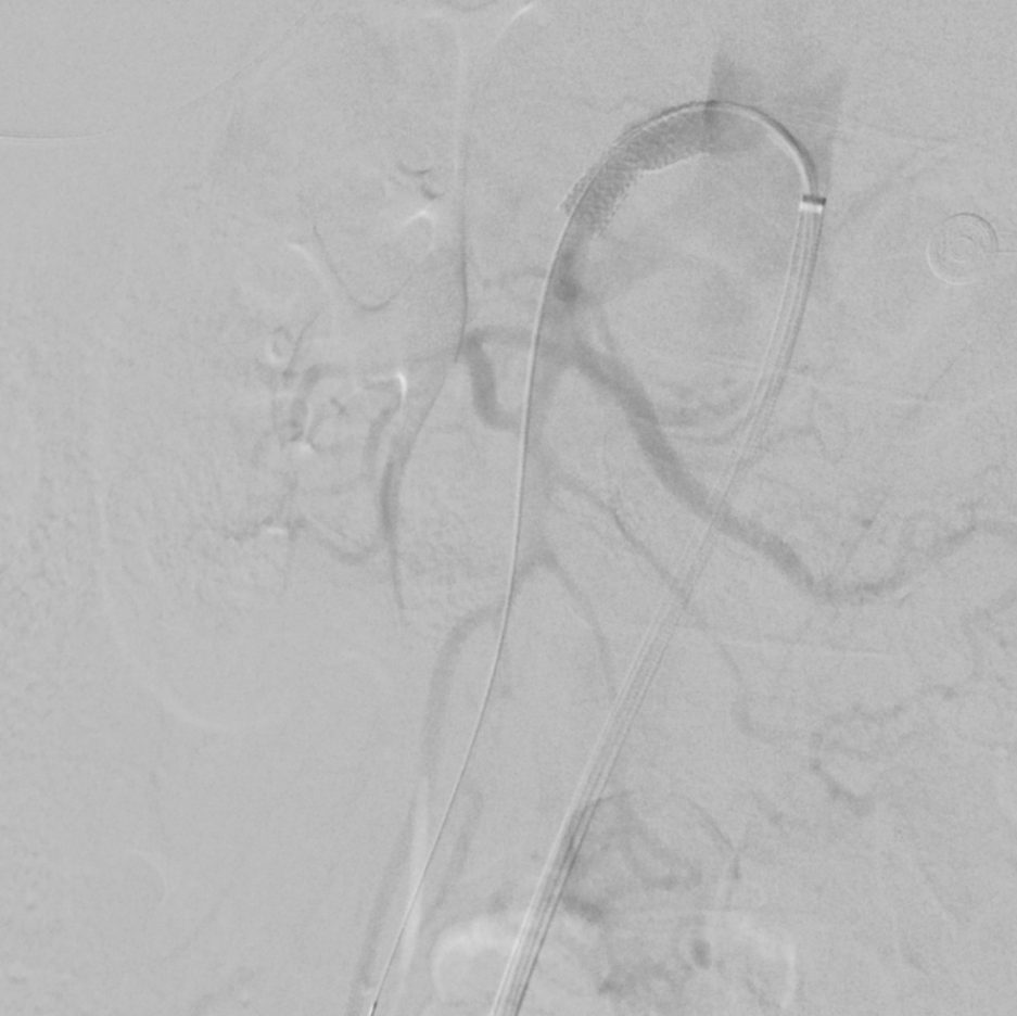
手术室内,介入外科、介入诊疗中心团队迅速就位。在局部麻醉下,介入外科团队精准穿刺股动脉,DSA造影清晰显示了夹层破口位置,随着支架的精准植入,复查造影显示:肠系膜上动脉主干通畅,各分支动脉显影良好,被阻断的肠道血供得以恢复!患者腹痛随即明显缓解。从入院到血管再通,全程仅用4个多小时,成功守住了肠道耐受缺血的“黄金救治窗”。

一体化诊疗显成效
术后,患者被转入介入外科病房,经普外科等多学科会诊,排除了肠坏死、肠梗阻等严重并发症。得益于术前的快速诊断、术中的精准干预以及术后液体复苏、抗凝及中西医结合的康复治疗,患者恢复远超预期:术后24小时,患者即在指导下下地活动,术后第5天出院回家。
此次急危重症的成功救治,充分体现了东营市中医院在多学科协作模式下的高效应急处置能力。面对病情急、难度大的血管急症,医院依托成熟的绿色通道,实现“上车即入院,救治一体化”的闭环管理,各环节无缝衔接,为急危重症患者构筑起坚实的生命防线,全力守护百姓生命健康。
相关科普
什么是肠系膜上动脉夹层?
肠系膜上动脉是腹腔内供应小肠、部分结肠血液的主要血管。动脉夹层是指血管内膜因各种原因发生撕裂,血流进入血管壁中层,形成真腔(原有血管腔)和假腔(壁内血肿)。
为什么会发生肠系膜上动脉夹层?
最常见原因:高血压控制不佳、动脉粥 样硬化、血管壁结构异常。
诱因:突然用力、剧烈运动、搬重物、便秘用力、剧 烈咳嗽等。
肠系膜上动脉夹层的主要症状有哪些?
突发、剧烈、持续性中上腹或脐周疼痛,同时,疼痛顽固,普通止痛药物效果差,并伴有恶心、呕吐、腹胀等。
肠系膜上动脉夹层的危害有多大?
肠道供血不足时→剧烈腹痛,出现撕裂样、刀割样的痛感,肠缺血;
严重时→肠缺血坏死、感染性休克;
血管破裂→大出血、 危及生命。
这种疾病的预防与注意事项有哪些?
长期平稳控制血压,戒烟限酒,清淡饮食,避免突然剧烈用力、搬重物,保持大便通畅,突发剧烈腹痛,立即急诊就诊。
(来源:东营市中医院)
责任编辑:孙双
