济南市五院:心内一科的坚守,为患者重获“心”生交出满意答卷
大众报业·齐鲁壹点 2026-02-27 10:36:39
当万家灯火映照出阖家团圆的温馨,当喜庆的欢声笑语充盈着假日的每一个角落,有这样一群身影,却选择为生命“站岗”。他们身着铅衣,手握导管,与时间赛跑,为心脏“守岁”,他们就是济南市五院心内一科介入团队,在节假日期间连续奋战,成功为 19名冠心病患者完成冠脉介入手术,其中 11 台为严重复杂病变,3 台为急性心肌梗死急诊手术,患者年龄从不惑之年的40岁,到耄耋之年的93岁,手术最终全部成功——这是心内一科团队在节日期间交出的一份沉甸甸的答卷。
节日里,生活规律容易被打破,情绪波动也可能加剧,这些都为心血管疾病,尤其是冠心病的急性发作埋下了隐患。今年的节日,心内一接诊的患者病情尤为复杂:从正值壮年的急性心梗,到高龄且合并多种基础病的危重患者;病变类型涵盖了严重钙化的“硬骨头”、被称为冠脉介入“最后堡垒”的慢性完全闭塞病变(CTO)、严重扭曲的复杂血管、随时可能引发险情的高负荷血栓、处理难度极高的分叉病变,以及最为凶险的左主干病变。

左前降支近中段CTO

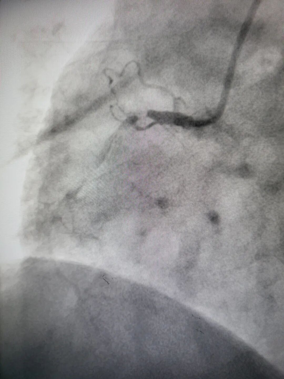
右冠近段狭窄99%

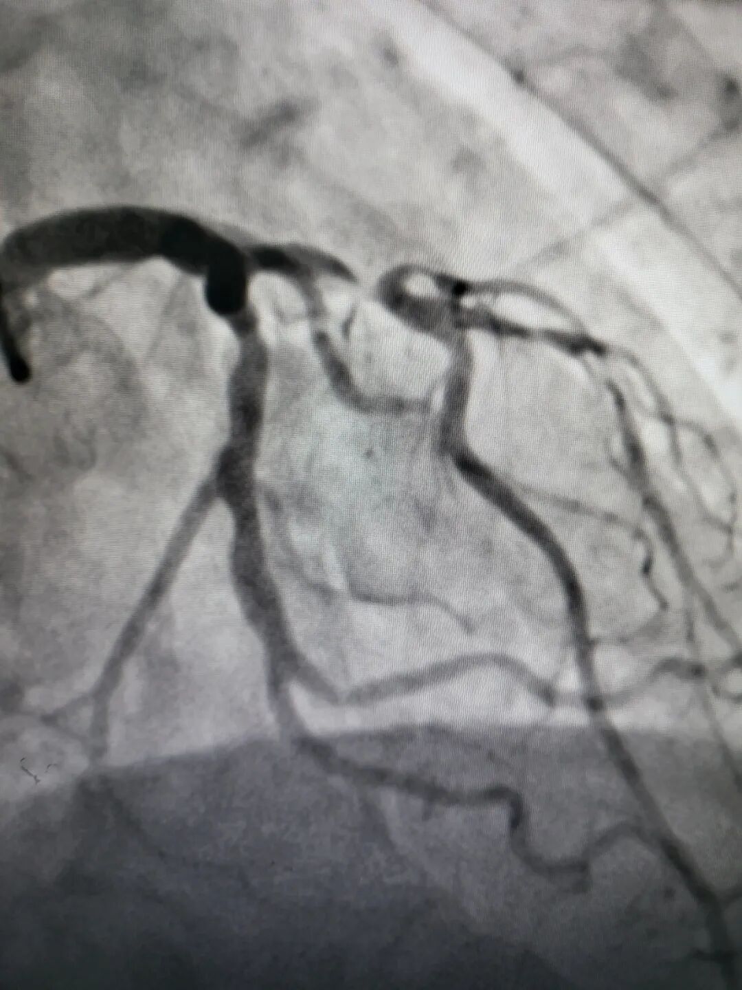
左前降支近段狭窄99%

右冠近段次全闭塞

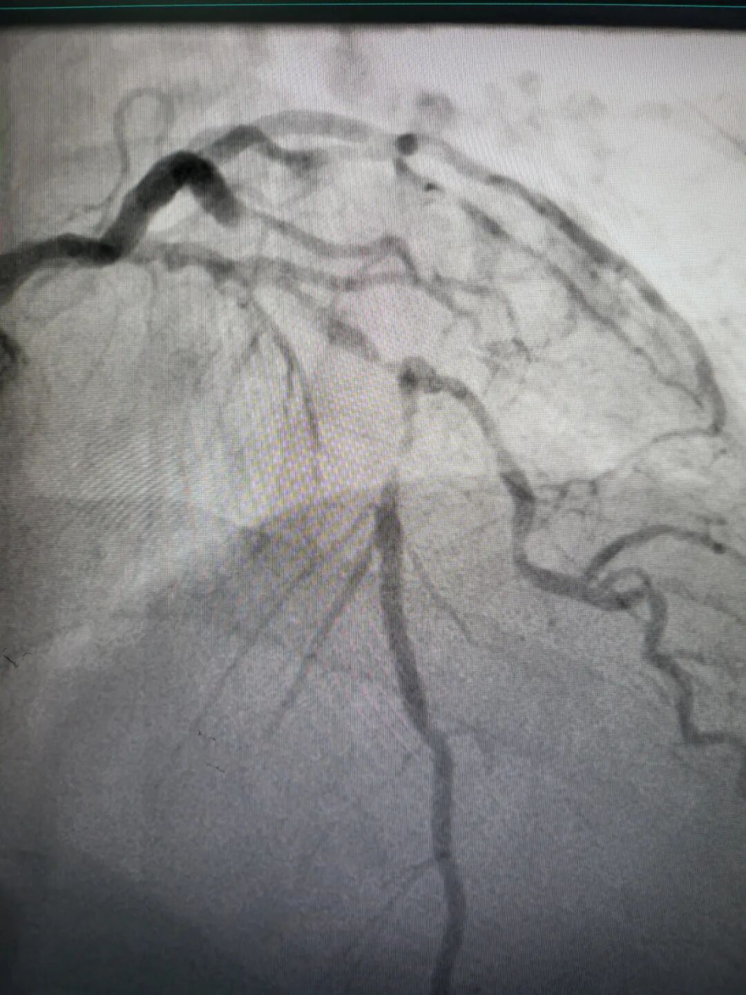
左前降支近中段弥漫性严重狭窄
手术室内,铅衣之下,是早已被汗水浸透的手术衣;手术室外,是家属焦急而期盼的眼神。没有节日的闲暇,只有监护仪的滴答声和术者沉稳的指令。当最后一台手术成功结束,当最后一根导管撤出,当患者安全返回病房,那压在所有人胸口的巨石才终于落地。看到93岁老人转危为安,看到正值壮年的父亲重获“心”生,所有的疲惫在这一刻都化作了欣慰。全员的成功,是技术的胜利,更是对生命绝不放弃的信念使然。


在这个本应属于团圆的节日里,他们缺席了自家的团圆饭,却用双手为更多家庭守住了“团圆”。这份坚守,是对职业最深沉的热爱,是对生命最崇高的敬畏。
大众新闻·齐鲁壹点 记者 郭蕊 通讯员 胡琪 王莹
责任编辑:郭蕊
