蹊跷的腹痛,元凶竟是扎入十二指肠的尖锐“刺”客!医生紧急提醒
大众报业·齐鲁壹点 2026-03-02 16:33:45
近日,山东省第二人民医院消化内一科主任魏志,成功为一名老年患者实施高难度内镜手术,将一根深深扎入十二指肠球部的尖锐鱼刺完整取出。整个过程微创、精准,避免了开腹手术的风险,患者术后迅速康复,目前已顺利出院。
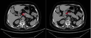
一个月前,患者刘阿姨(化名)无明显诱因出现左上腹持续性隐痛,自行服药未见好转,随后更出现了便血症状。在当地医院进行腹部CT检查时发现,其十二指肠球部可见一高密度影,走行方向从腔内延续至腔外(图1)——这一征象提示异物已穿透肠壁,情况十分危险。
图1腹部CT:十二指肠球部可见一高密度影,
走行方向从球腔内延续至腹腔(红色箭头)
为寻求进一步诊治,刘阿姨慕名转诊至山东省第二人民医院消化内一科。入院后,魏志主任团队迅速组织评估,判断该异物位置深、尖锐且已造成局部穿孔形成包裹,若不及时处理,极有可能引发消化道穿孔、弥漫性腹膜炎甚至大出血等危及生命的并发症。
经过周密的术前准备,魏志团队为刘阿姨实施了“超声内镜定位下联合内镜下经隧道异物取出术”。术中观察在白光内镜下见十二指肠球部前壁见一黏膜下隆起,顶端充血糜烂伴有白色脓液流出,未看到明确的异物(图2)。
图2白光内镜:十二指肠球部前壁见一黏膜下隆起,
顶端充血糜烂
随后进行了超声内镜下的定位,黏膜下层及固有肌层分界不清,见一高回声条状带,提示异物已嵌入固有肌层突出腔外(图3)。
图3超声内镜:黏膜下层-固有肌层见条带状高回声异物(绿色箭头)
由于十二指肠球腔空间狭小,且镜子的稳定性差,内镜下直接取异物操作难度极大,一旦直接切开,进入腹腔内寻找异物,有引起迟发性穿孔的可能,需再追加外科手术,而该部位外科手术难度高,甚至需行胰十二指肠切除术(Whipple),创伤极大,为了避免上述并发症的发生,最终,魏志另辟蹊径,创新性地采用了内镜下经隧道肌切开异物取出术(手术过程-图4),首先于幽门前区前壁进行粘膜下注射,建立倒T型隧道开口,后逐层分离粘膜下层建立隧道至幽门口,浅切开幽门口环形肌至十二指肠粘膜隆起处,最终发现异物尾端。使用活检钳精准夹持,缓慢而平稳地将其完整取出——竟是一根长约3.3厘米的尖锐鱼刺(图5),用金属夹封闭隧道口,整个手术时长仅约30分钟,术后留置鼻胃管,禁食2天,刘阿姨的腹痛与便血症状消失,无术后并发症,复查腹部CT未见异物残留,恢复状况良好,顺利出院。
图4手术过程:a.建立隧道;b.发现异物尾端(红色箭头);
c.活检钳精准夹持异物(红色箭头);d.封闭隧道口
图5异物为长约3.3cm鱼骨
魏志表示,对于内窥镜手术而言,取出尖锐异物一直是一个难以解决的难题。目前指南建议对尖锐形状的异物应立即采取内镜干预措施。我们报告了通过超声内镜引导定位联合黏膜下隧道辅助内镜技术成功移除嵌顿在十二指肠球部及腹腔内的长形异物的案例,该技术保留了粘膜层的完整性,同时通过隧道内环形肌切开,保持足够的操作空间,进入腹腔和黏膜组织内游离异物,保证了操作的安全性。这一技术创新为十二指肠透壁性异物的治疗提供了一种微创的替代方案,精准、有效、安全,避免了外科手术。
警惕误吞异物的隐性危机
随着日常家庭聚餐、亲友小聚的增多,食用带刺鱼类、坚果、骨头等食物的频率也在上升,误吞异物也随之进入高发期。魏志特别提醒:用餐时务必细嚼慢咽,避免说笑打闹;老人和儿童因咀嚼功能较弱或注意力分散,更需格外注意。
一旦不慎误吞异物,切勿尝试“土方法”,例如吞饭团、喝醋、催吐或大量饮水,这些做法不仅无效,反而可能会将异物推挤至更深的位置,加重损伤程度。
▶▶▶正确应对,抓住以下三个要点:
1.立即停止进食、进水,减少胃肠蠕动对异物的推动;
2.尽快前往具备内镜诊疗能力的医院就诊;
3.向医生清晰说明以下关键信息:
○误吞的是什么(如鱼刺、鸡骨、假牙等);
○大致发生的时间;
○是否出现胸痛、腹痛、呕血、便血等症状。
这些细节对医生快速判断异物性质、位置及制定治疗方案至关重要。尤其是鱼刺、鸡骨等尖锐异物,极易刺穿消化道壁,延误处理可能造成严重后果。因此,误吞异物后摒弃错误操作、及时规范就医,是避免病情加重、降低风险的核心关键。
责任编辑:秦聪聪
