漫漫“视”界终复明:一位视网膜脱离患者的千里求医路
齐鲁晚报·齐鲁壹点客户端 张雅宁 2026-03-24 12:15:19原创
从济南到北京,再到德州爱尔
一场跨越多年的“眼球保卫战”
对于许多人来说,看清这个世界是理所当然的日常,但对于患者杨女士而言,为了保住左眼的视力,他经历了一场历时多年、辗转千里、跨越三家顶级医院的漫长征程。近日,在德州爱尔眼科医院,随着一台高难度的“生物羊膜覆盖黄斑裂孔修复术”的顺利完成,这场艰难的眼科“攻坚战”终于画上了圆满的句号。
初次受挫:外路手术未果,希望蒙上阴影
故事的起点发生在15年前济南一家知名三甲医院。彼时,杨女士先生因突发左眼视物不见,诊断为视网膜脱离,在当地接受了“外路手术”(巩膜外垫压术)。这是一种经典的视网膜复位方式,但对于复杂性的网脱,手术存在一定的不确定性。术后,杨女士的视网膜并未如愿复位,第一次手术的失败不仅让她的视力跌入谷底,也让她的心情陷入了前所未有的焦虑。带着对光明的渴望,杨女士北上进京,来到了全国眼科诊疗的“高地”——北京同仁医院。在这里,专家为她实施了更为精细的“玻璃体切割手术”。这一次,解剖学上的视网膜成功复位了。然而,命运似乎总在考验这位求医者的耐心。
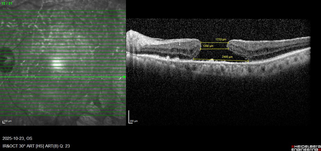
2025年杨女士再次感觉左眼视力下降,开始怕折腾繁忙工作中的孩子,半年后生活明显受限,当地眼科检查发现左眼黄斑裂孔,裂孔最窄处也超过了1200微米,医师告知她还得需要多次手术治疗,患者处于崩溃的边缘。经多方打听,杨女士了解到德州爱尔眼科医院在复杂眼底病及黄斑裂孔手术方面拥有前沿技术。抱着一线希望,她来到了德州爱尔眼科医院。
杨女士在德州爱尔眼科医院进行检查
接诊的是德州爱尔眼科医院院长、眼底病专家张士玺教授团队。经过全面的OCT(光学相干断层扫描)等精细检查,张院长发现,患者的黄斑裂孔不仅直径较大,裂孔周边同时伴有继发性前膜牵拉,进一步进展将发展为黄斑裂孔性视网膜脱离。
张士玺教授团队分析患者病例
患者之前做过多次眼底手术,眼内的‘内界膜’作为修补的材料可能无法修补裂孔。如果按照老办法,这个孔很难长上。张院长解释,“我们必须为她寻找一种新的、更有效的‘补丁’。”
经过院内专家团队的仔细讨论,张院长决定为其实施目前国内领先的生物羊膜覆盖术。这项技术利用经过特殊处理的生物羊膜,将其作为“生物补片”覆盖于黄斑裂孔处。羊膜具有抗炎、抗瘢痕化、促进细胞迁移爬行生长的独特优势,能够为裂孔的闭合提供完美的支架,尤其适合传统手术失败的难治性患者。
生物羊膜覆盖黄斑裂孔修复术进行中
张院长凭借精湛的微创玻璃体切割手术技巧,小心翼翼地剥除前膜,精准地将生物羊膜“移植”到黄斑裂孔处,同时完成眼内惰性气体填充,手术过程非常顺利。
术前OCT检查图片
术后OCT检查图片
术后复查时,当OCT图像清晰地显示黄斑裂孔已完全闭合,且羊膜与视网膜贴合良好时,杨女士激动得热泪盈眶。她的视力从术前的“手动/眼前”恢复到了0.08,极大改善了生活治疗,而且一次手术解决,并没有发生注入硅油,取出硅油等多次手术的情况。
“从济南到北京,我以为我的眼睛没救了,没想到最后在‘家门口’的德州爱尔解决了问题。”杨女士感慨道,“感谢张院长,感谢德州爱尔,让我在经历了这么多波折后,终于能再次看清这个世界。”
专家解读:生物羊膜开启眼底病治疗新篇章
针对此次手术的成功,张士玺院长表示:“生物羊膜覆盖术是目前治疗难治性黄斑裂孔的‘杀手锏’。对于像杨女士这样经历过多次手术、内界膜缺失或二次复发黄斑裂孔的患者,传统的术式往往束手无策。而羊膜作为理想的天然支架,极大提高了这类复杂性裂孔的闭合率。”
此次手术的成功,不仅标志着德州爱尔眼科医院在疑难眼底病诊疗领域达到了国内先进水平,更证明了即使是经历多次手术失败的复杂病例,在现代医疗技术的加持下,依然有重获光明的希望。
大众新闻·齐鲁壹点 张雅宁
责任编辑:张雅宁
