“娃哭得像小猫咪一样,好可爱” 医生:别大意!或为染色体异常的潜在警报
大众新闻 贺莹莹 2026-03-27 11:07:11原创
近日,德州市妇幼保健院医学遗传与产前诊断门诊接诊了一位特殊的孕妇。她和许多孕妇一样,满心期待着新生命的到来。然而,这份平凡而珍贵的期待,在一次常规的无创DNA检测后,被彻底打破。检测报告上冷冰冰地写着几行字——“胎儿5号染色体p15.33-p15.31区域可能存在一段约8.0Mb的缺失”。当医生把结果递到她手中时,她下意识地攥紧了报告单。
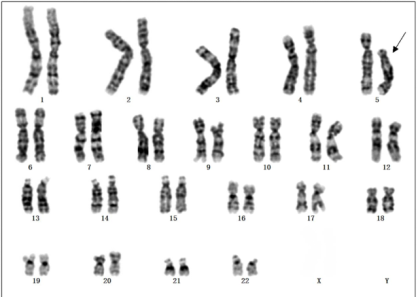
在产前诊断中心闫磊主任的专业建议下,她做出了行羊膜腔穿刺术的决定。等待结果的那两周,漫长得像两个世纪。最终,染色体微阵列分析(CMA)与染色体核型分析结果一致,均证实胎儿患有猫叫综合征。

染色体核型:46,XN,del(5)(p14)

CMA结果示意图
这个案例牵动人心,也让我们将目光投向这种因“哭声似猫叫”而得名的罕见遗传病——猫叫综合征。它究竟是什么?如何发生?又能否预防?
猫叫综合征
猫叫综合征,医学上称为Cri-du-Chat Syndrome,又名5p缺失综合征。它并非由病毒感染或孕期不当行为引起,而是一种染色体结构异常疾病。其根本原因是一条5号染色体的短臂(p臂)发生了部分或完全缺失。这条至关重要的5号染色体,是人类第5大的染色体,承载着约839个基因,负责调控细胞的生长与发育。其中,短臂特定区域的基因缺失,正是导致一系列独特临床表现的根源。
该病在全世界范围内都属罕见,新生儿发病率约为1/15,000至1/50,000。值得注意的是,约88%-90%的病例为“新发”或“散发”,即父母双方染色体检查通常完全正常,缺失发生在精子或卵子形成过程中的偶然事件。因此,即使家族无任何遗传病史,也有生育猫叫综合征宝宝的可能。
典型临床表现
特征性哭声:出生后最具标志性的表现是高调、微弱、似小猫叫的哭声。这是由于喉部发育异常(喉骨小、会厌松弛等)所致。此哭声通常在1岁后逐渐变得不明显,2岁后可能消失。
特殊面容:常见小头畸形、圆脸、眼距宽、睑裂下斜、鼻梁宽扁、低位耳、小下颌等。随着成长,面容可能变长,出现牙齿咬合不正等问题。
生长与智力发育迟缓:出生时常为低体重儿,伴有肌张力低下。随后出现生长发育迟缓、重度至极重度智力障碍。语言发育尤其滞后,但理解能力可能优于表达能力。
多种先天异常:约15%的患儿伴有先天性心脏病(如房间隔缺损、动脉导管未闭)。还可能存在骨骼异常(如并指)、视力问题(斜视)、听力障碍、皮纹异常等。
正如开篇案例所示,猫叫综合征的诊断路径在现代医学中已十分清晰:
产前筛查与诊断:无创DNA检测(NIPT)作为一种筛查技术,能够提示胎儿染色体是否存在大片段缺失/重复的风险(如提示5p缺失高风险),但不能作为最终诊断依据。
确诊性产前诊断:对于NIPT高风险或超声发现异常(如小头畸形、心脏异常等)的孕妇,羊膜腔穿刺术是金标准。通过对羊水细胞进行染色体核型分析和/或染色体微阵列分析(CMA),可以明确诊断并确定缺失的具体大小和位置。
猫叫综合征的故事,始于染色体上一次微小的“意外”,却深刻影响着一个孩子和一个家庭的未来。它提醒我们,生命密码的复杂与精密。随着医学遗传学的飞速发展,我们拥有了在生命早期洞察这些奥秘的能力。重视产前筛查,理性看待诊断结果,积极进行遗传咨询,是迎接健康新生命、承担家庭与社会责任的重要一环。
(大众新闻记者 贺莹莹 通讯员 季冬)
责任编辑:贺莹莹 籍雅文
