滨城区市立医院外一科成功开展高难度右足矫形手术
大众报业·齐鲁壹点 2026-03-30 10:00:02
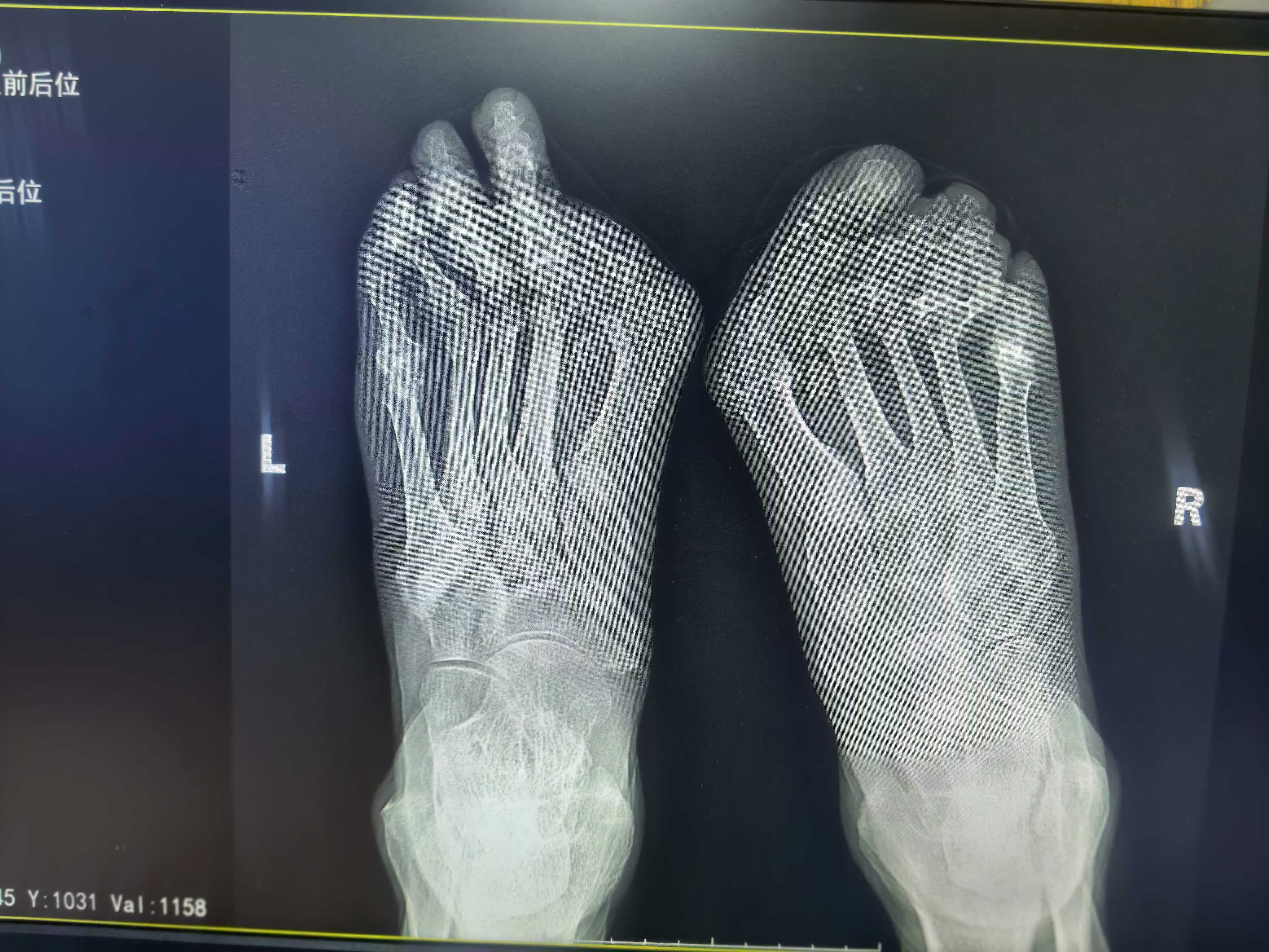
近日,市立医院外一科成功为一名双足重度踇外翻、类风湿关节炎前足畸形的老年男性患者,实施右足跖趾关节成形 + 踇趾关节融合术。该患者因类风湿关节炎长期侵蚀,导致双足足趾严重畸形、踇趾重度外翻,伴随明显疼痛与负重障碍,保守治疗效果不佳,严重影响行走与日常生活,遂来院寻求手术治疗。


病痛缠身,行走成“酷刑”
“以前每走一步都像针扎一样,实在熬不住。” 患者坦言。长期关节破坏与畸形,使其足部受力异常,局部反复红肿、增厚结痂,难以正常穿鞋,日常买菜、散步等简单活动均无法完成,生活质量显著下降。
技术攻坚,小关节里的大乾坤
面对复杂病情,外一科陈新荣主任带领团队全面查体、精细评估影像学资料。结果显示:患者右足跖趾关节严重破坏、关节间隙消失,伴关节半脱位,保守治疗已无法逆转器质性损伤。
“类风湿性重度足畸形的治疗,不只是‘矫正外观’,更要重建无痛、稳定、可负重的足部功能。”陈新荣主任在术前讨论中明确治疗核心。团队周密制定手术方案,为高难度矫形筑牢安全基础。
重获新生,晚年迈步更从容
在精准操作下,手术顺利完成。术后复查 X 线片提示:关节融合位置良好,畸形矫正满意。患者疼痛明显缓解,对疗效十分认可。
“脚趾变正了,那种骨头磨骨头的剧痛彻底消失了,谢谢医生让我晚年还能正常走路。” 病房里,患者久违的笑容,是对手术效果最真切的肯定。
此次高难度足踝矫形手术的成功开展,不仅有效解除患者长期病痛、显著提升生活质量,更充分展现我院外一科在足踝关节重建与矫形领域的专业实力。
下一步,滨城区市立医院外一科将持续精进技术、坚守医者初心,以精湛医术与人文关怀,为更多足踝疾病患者守护健康、重拾行走自由。
大众新闻·齐鲁壹点 赵旭 通讯员 王延延
责任编辑:董丽霞
