泰安市第一人民医院:关节镜微创技术,让跟骨骨刺治疗迈入“针孔”时代
大众报业·齐鲁壹点 2026-03-30 11:07:54
近日,泰安市第一人民医院骨一科团队成功为一名饱受足跟疼痛的患者实施了关节镜下跟骨骨刺切除并足底筋膜松解术,术后患者恢复效果满意。
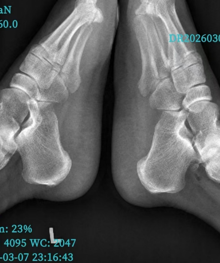
接受手术的是46岁的张大姐,因双足跟部疼痛10月入院,在外口服止痛药物、理疗等治疗效果差,随之来到我院骨一科门诊就诊。骨一科副主任、副主任医师庞涛接诊患者。行双跟骨X光片检查显示双跟骨骨刺,建议患者住院手术治疗。

术前双跟骨骨刺明显

术后双跟骨骨刺完整切除
入院后骨一科团队对其进行了必要的术前检查,结合患者病情,由庞涛副主任医师创新性地实施了关节镜下跟骨骨刺切除并足底筋膜松解术,手术效果满意,病人康复出院。

“跟骨骨刺,是足底筋膜因长期承受过大拉力,在跟骨附着点处反复牵拉、钙化而形成的骨性突起,是临床上较常见的疾病之一。它本身不一定会引起疼痛,但当它反复刺激周围的软组织,引发足底筋膜炎、局部炎症水肿时,剧烈的疼痛便随之而来”。副院长、骨科主任鞠玉亮介绍。
对于保守治疗无效的患者,过去常采用传统开放手术。这种方式虽然有效,但往往伴随着较大的切口、较长的恢复期以及术后疤痕粘连等问题,让许多患者望而却步,宁愿忍受疼痛也不愿走上手术台。

术中使用磨钻磨除骨刺

手术微创切口
如今,随着运动医学与关节镜技术的发展,治疗跟骨骨刺已无需“大动干戈”。关节镜微创技术,正为饱受足跟痛困扰的朋友们带来新的曙光。
借助关节镜治疗,具有以下优势:
1 精准“视”界,直击病灶
关节镜如同一双“火眼金睛”。医生仅在足跟处开2个约0.5厘米的“针孔”样切口,将高清摄像头伸入关节腔内。放大的视野能清晰显示骨刺的位置、形态以及被卡压的筋膜组织,真正做到“指哪打哪”,精准磨除骨刺,松解紧张的足底筋膜。
2 创伤极小,美观无痕
相比传统手术的长切口,微创治疗仅需几个小孔,对周围正常的肌肉、血管和神经组织干扰极小,几乎不留疤痕,满足了现代人对美观的追求。
3 恢复迅速,重返生活
由于创伤小,术后疼痛感大大减轻。患者通常在术后当天或第二天即可下地部分负重行走,康复周期大幅缩短。让患者能更快地回归正常工作和生活节奏,减少对家庭和工作的影响。
4 并发症少,安全高效
清晰的操作视野最大限度地避免了盲目操作对周围组织的损伤,有效降低了术后感染、神经损伤及疤痕粘连等并发症的风险。
微创手术的成功,是康复的坚实基础。术后,医生会根据您的具体情况,制定个性化的康复方案,包括:
1· 短期的足跟垫辅助行走
2· 循序渐进的小腿及足底肌肉拉伸训练
3· 物理因子治疗促进消肿和愈合
当然,并非所有的足跟痛都是骨刺引起,也并非所有骨刺都需要手术。如果您正被足跟痛困扰,建议及时就诊于专业的运动医学科或足踝外科,通过体格检查和影像学评估,找到疼痛的根源,制定最适合您的治疗方案。
(泰安市第一人民医院)
(齐鲁晚报·齐鲁壹点客户端欢迎各界投稿,提供线索,包括文字、照片、短视频。泰安新闻素材请联系齐鲁晚报泰安融媒中心,热线电话:0538-6982110。)
责任编辑:赵晴
