日照市中医医院颅脑外科团成功实施神经内镜下微创全切术
大众报业·齐鲁壹点 2026-03-31 17:51:07
近日,日照市中医医院颅脑外科团队凭借精湛的微创技艺与精细化护理保障,在颅内“生命禁区”精准发力,成功为一名巨大颅咽管瘤患者实施神经内镜下微创全切术。这场与病魔的“精准较量”,助力了患者重获健康,也标志着我院在神经内镜治疗复杂颅底肿瘤领域的技术水平实现突破性跨越,专科诊疗能力再攀新高。
病情危急!肿瘤盘踞难抉择,微创破局
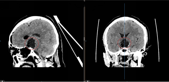
数月前,一场突如其来的“异常”打破了唐先生的正常生活——无明显诱因下,他频繁出现视物模糊,烦渴尿多等 症状……经磁共振检查,一个令人揪心的结果浮出水面:唐先生颅内长有一颗3.8×3.6×3.3 厘米的颅咽管瘤,而这颗“不速之客”正悄然威胁着他的生命健康。

(图中圈红位置为颅咽管瘤)
唐先生与家人辗转奔波于国内、省内多家大型医院,却屡屡碰壁。原来,这颗颅咽管瘤不仅体积庞大,更像一颗“定时炸弹”,深踞颅内最核心的要害区域,紧密缠绕着重要的血管与神经组织,手术操作空间狭窄如缝,稍有不慎便可能引发致命风险,若行传统开颅手术,创伤大、风险高。
在求医无门的困境中,唐先生来到了日照市中医医院颅脑外科就诊。颅脑外科李燕敏主任第一时间牵头组建以副主任医师盛毅为核心的医疗团队,团队反复研读患者影像学资料,细致评估其身体状况与既往诊疗经历,像“拆解难题”般反复推演手术路径,全面权衡传统手术与微创技术的利弊,最终创新性采用微创内镜技术,以鼻腔为通道,避开颅内重要组织,用最小的创伤精准“围剿”肿瘤,最大程度降低风险并保护患者机体。
精准微创!精细操作克难关

(右一为李燕敏)
手术当天,一场与“颅内巨瘤”的精准较量正式拉开帷幕。
手术团队借助内镜高清放大的视野优势,如同拥有了“透视眼”,清晰捕捉到肿瘤与周围血管、神经的每一处细微关联,细致分离肿瘤与重要组织粘连,一点点剥离、精准切除病灶,既确保肿瘤被完整切除,又最大限度保护了正常脑组织及神经功能,成功规避了术中副损伤的风险。

(图为术后影像)
精细护理!应对并发症稳护航
手术的顺利,只是这场救治之战的“上半场”,术后并发症的防控与处置,同样是守护患者生命安全的“关键防线”。
术后患者相继出现反复高热、下肢静脉血栓、血糖升高、电解质紊乱、尿崩、激素紊乱等多重并发症,面对接踵而至的考验,颅脑外科医生团队每日查房调整方案,颅脑外科重症护理团队24小时值守,医护协同坚守,通过精准监测、专科护理、营养支持等精细化措施,逐一化解危机,最终让患者指标稳步恢复,康复效果远超预期。
此次诊疗的成功,是颅脑外科技术实力、应急救治能力与精细化护理水平的集中彰显,充分凸显了神经内镜微创技术在复杂颅底肿瘤治疗中的临床价值。未来,颅脑外科团队将继续聚焦微创诊疗领域,不断深化临床应用与技术研究,为区域内群众的生命健康保驾护航。
专家简介

李燕敏,主任医师。
业务专长:具有深厚的现代神经外科理论知识和临床经验,从事神经外科专业 30 余年。对于颅脑损伤、高血压脑出血、颅内肿瘤有着丰富的临床经验,尤其擅长神经内镜治疗垂体瘤、拉克氏囊肿、脊索瘤、脑积水等疾病以及显微手术治疗三叉神经痛、面肌痉挛等功能性疾病。
代表性技术:神经内镜技术。
社会兼职:山东中医药学会外科专业委员会委员、日照市神经外科专业委员会委员。

盛毅,副主任医师。
社会兼职:山东省医师协会神经内镜医师分会委员,山东中西医结合学会神经外科专业委员会委员,日照市医学会神经外科学专业委员会委员。
专业特长:拥有丰富临床经验和深厚的医学理论功底,中西医结合治疗颅脑损伤、脑出血、颅底肿瘤、脑积水等疾病以及三叉神经痛、面肌痉挛、癫痫等功能性疾病。尤其在神经内镜方面有着深入的研究,擅长神经内镜技术治疗垂体瘤、脑出血、脑积水等相关疾病。
责任编辑:张倩
