济南市四院:跨越山海的“双向奔赴”
大众报业·齐鲁壹点 2026-04-02 16:17:45
山海不为远,千里心相连。自济南市第四人民医院神经外科孔令超医师作为“组团式”帮扶医疗队成员进驻永靖县人民医院以来,已历时八个月。在这段“传、帮、带”的帮扶历程中,孔令超医师不仅将微创介入等先进技术带到了黄河之畔,更在与当地同仁并肩作战的过程中,通过一个个疑难病例的诊疗实践,实现了自身的专业成长与认知升华。帮扶从来不是单向的输出,而是一场双向奔赴。在永靖县人民医院,孔令超收获了宝贵的临床经验,尤其是在颅内占位性病变的影像判读与诊疗思维方面,通过四个典型病例的深入探讨,他对该类疾病的认识迈上了新的台阶。
病例一:鞍区占位——揭开垂体腺瘤的神秘面纱
一位中年女性患者因长期头痛、视力进行性下降就诊,外院曾按“眼科疾病”治疗无效。孔令超医师在会诊时仔细查阅影像资料,发现鞍区存在一占位性病变,鞍底下陷,垂体柄偏移,病变呈等T1、等T2信号,增强后均匀强化——这一系列特征性表现,明确指向了垂体腺瘤。

鞍区解剖结构复杂,毗邻视交叉、颈内动脉、下丘脑等重要结构,占位性质的精准判断直接关系到治疗方案的选择。通过对此病例的深入研讨,孔令超医师系统梳理了垂体腺瘤的影像学分型、内分泌功能评估及手术适应证。该病例不仅让他对鞍区占位的鉴别诊断(垂体腺瘤、颅咽管瘤、脑膜瘤等)有了更清晰的思路,也深化了对视交叉受压与视野缺损对应关系的理解。这一病例的讨论,成为科室业务学习的生动教材,提升了对鞍区病变的规范化诊疗能力。
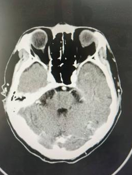
病例二:乙状窦区占位性病变——深化颅底解剖理解
一位因长期头痛、头晕就诊的患者,影像检查发现其小脑半球与乙状窦交界处长有一占位性病变。面对这一病例,孔令超医师进行了详细的影像学分析与病例讨论。
乙状窦区域解剖结构复杂,紧邻重要的静脉窦、后组颅神经及脑干,占位性质的判断直接关系到治疗策略的选择。通过对此病例的深入研讨,结合影像学特征(如“脑膜尾征”、均匀强化等),孔令超医师对乙状窦区脑膜瘤的典型影像学表现有了更精准的把握,进一步深化了对颅底复杂解剖结构与占位鉴别诊断的认识。这一过程也启发了当地医生对复杂区域占位的影像判读思路。
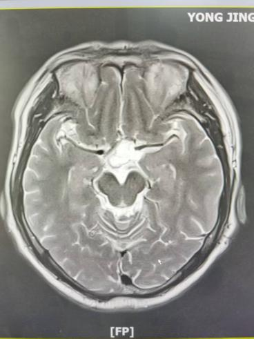
病例三:表皮样囊肿——掌握影像“金标准”
一例外伤患者,颅脑磁共振检查,显示患者小脑半球存在一特征性占位,在DWI序列上呈显著高信号——这一影像学表现正是表皮样囊肿(又称“珍珠瘤”)

表皮样囊肿虽为良性,但其沿蛛网膜下腔“见缝就长”的生长方式极具特点。通过对此病例的深入分析,孔令超对这一疾病的影像学“金标准”有了更深刻的认识,也进一步掌握了其与蛛网膜囊肿等相似病变的鉴别要点。这一病例的讨论,让团队对颅内囊性占位的鉴别诊断能力得到提升。
病例四:颅内巨大动脉瘤——拓展介入诊疗视野
一位因反复头痛就诊的患者,经CT血管成像检查,确诊为颅内巨大动脉瘤,形态不规则,破裂风险极高。面对这一急危重症,孔令超与当地医生共同分析病情,制定诊疗方案。


通过对该病例影像特征的细致观察与风险分层评估,孔令超对巨大动脉瘤的形态学特点、破裂风险因素及介入治疗适应证有了更系统的认识。结合自身技术优势,完成全脑血管造影术,拓展了他在脑血管疾病领域的临床视野,也为科室今后开展动脉瘤介入治疗积累了宝贵经验。

八个月来,孔令超医师始终坚持“传、帮、带”宗旨,通过教学查房、业务培训、疑难病例讨论等多种形式,全力提升科室医疗服务能力。在帮扶他人的同时,他也深切体会到“教学相长”的真谛——每一次病例讨论,每一次影像判读,都是对自身专业知识的再巩固与再提升。
“帮扶是双向奔赴的过程。”孔令超感慨道,“在永靖,我不仅将技术留在了这里,也收获了当地同事的友谊和患者的信任。更重要的是,通过一个个鲜活的病例,我对颅内占位性病变的认识更加深入,这对我今后的临床工作也是一笔宝贵的财富。”下一步,他将继续深化“师带徒”机制,推进新技术落地,优化卒中中心诊疗流程,做好工作交接与传承,为永靖县人民医院打造一支“带不走”的高水平神经外科队伍,让优质医疗资源真正惠及当地百姓,续写鲁甘协作医疗帮扶的新篇章。
大众新闻·齐鲁壹点 记者 郭蕊 通讯员 陈丽艳 王燕
责任编辑:郭蕊
