6岁女童突发昏迷伴偏瘫,齐鲁二院精准诊疗“无痕修复”脑动静脉瘘
行业动态(健康) | 2026-04-04 21:29:26 原创
大众新闻客户端 黄鑫
近日,一名罹患复杂脑动静脉瘘合并动脉瘤破裂出血的6岁女童,在山东大学齐鲁第二医院(以下简称“齐鲁二院”)神经外科救治,术后完全康复且未留下任何后遗症,复查显示病灶已彻底根除。
课堂突发险情
6岁女童昏迷伴偏瘫
“老师,我头疼……” 课堂上突然传来微弱呼喊,6岁的婷婷(化名)瞬间失去意识,左侧肢体也无法活动。紧急时刻,学校迅速拨打120,将孩子送往齐鲁二院院儿童医学中心。
颅脑CT显示大量脑出血
颅脑 CT 检查结果令人揪心:右侧顶枕叶脑出血,出血量高达60ml,婷婷昏迷且偏瘫症状提示神经功能已受严重压迫,随时可能发生脑疝危及生命,对于6岁的孩子来说,抢救的每一分钟都关系到她未来的整个人生。
精准锁定病因
先天性脑血管病是 “元凶”
神经外科副主任医师樊明德接到通知后,立即赶到儿童医学中心,结合婷婷的年龄和出血部位,第一时间判断:绝非普通脑出血,大概率是先天性脑血管疾病所致。
颅脑CTA显示脑内动静脉瘘和动脉瘤
为明确诊断,紧急为婷婷安排了颅脑CTA(CT血管造影)检查,结果显示,婷婷右侧大脑后动脉供血的脑动静脉瘘合并动脉瘤,且动脉瘤已破裂出血,这正是导致突发昏迷和偏瘫的 “元凶”。这是一个极其罕见的脑血管畸形:脑动静脉瘘合并血流相关性动脉瘤,且动脉瘤已经破裂,脑动静脉瘘与动脉瘤并存更是增加了救治难度:瘘口导致血液异常分流,动脉瘤随时可能再次破裂,而60ml 的血肿已压迫脑组织,每延迟一分钟,神经功能损伤的风险就增加一分。面对如此复杂的病情,手术难度极高。
可吸收材料实现“无痕修复”
“必须立刻手术!” 神经外科主任王成伟团队迅速制定方案:既要清除致命的血肿挽救生命,又要精准处理动脉瘤和动静脉瘘,还要最大限度地保护孩子稚嫩的脑功能。
传统手术往往需要使用钛合金夹或金属微弹簧圈栓塞等永久性异物来处理动脉瘤。但考虑到婷婷只有6岁,未来的路还很长,团队做出了一个充满人文关怀且极具挑战的决定:彻底切除动脉瘤和动静脉瘘,全程采用可吸收材料进行修补并固定颅骨,不在孩子体内留下任何金属或永久性异物,避免金属植入物对孩子后续生活、心理造成影响。
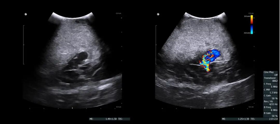
术中超声精准探查动脉瘤及周边血肿
在麻醉科手术室的紧密配合下,樊明德及主任医师赵旭在显微镜下为婷婷精准实施手术。术中超声仔细探查脑内血肿及动脉瘤的位置后,血肿被逐步清除,破裂的动脉瘤和异常的动静脉瘘口逐渐显露,小心翼翼避开重要神经和血管,精准切除动脉瘤,成功封闭动静脉瘘口。整个过程紧张有序,历时3小时顺利完成。
家属向神经外科团队送上锦旗
术后,在神经外科医护团队的精心照料下,婷婷的肢体活动、语言功能、认知能力全部恢复正常,无任何神经功能障碍。术后两个月复查脑血管造影显示:原脑动静脉瘘及动脉瘤均已消失,正常脑血管结构保留完好,脑血管疾病已彻底治愈。
齐鲁二院神经外科在脑血管病(脑动静脉瘘、动脉瘤、脑血管畸形等)的诊治方面积累了丰富经验,这一例高难度手术的成功,不仅体现了神经外科在处理复杂脑血管疾病方面的雄厚实力和急危重症抢救能力,更彰显了“以人为本”的微创理念和长远考量。未来,神经外科将继续深耕脑血管疾病前沿,通过技术创新不断突破复杂手术的“禁区”,为守护人民群众健康贡献力量。
(大众新闻记者 黄鑫 通讯员 樊明德)
责任编辑:徐佳
