“第一”健康线丨与时间赛跑七小时:内镜下成功“夺回”濒危的马尾神经功能
速览淄博 | 2026-04-10 15:38:32 原创
孙亚男 来源:大众新闻·鲁中晨报
38岁的张先生(化名)被家人送来时,表情痛苦,双腿几乎无法挪动。他告诉医生,午休后突然腰像断了一样疼,随即发现脚麻了,上厕所也解不出小便。曾到当地专科医院诊治,被建议转省级医院治疗,后多方打听后来到淄博市第一医院脊柱外科就诊。
针对张先生的病情,陈越林、唐昱锋医师团队迅速制定手术方案,实施UBE内镜下腰椎后路减压+突出髓核摘除术。

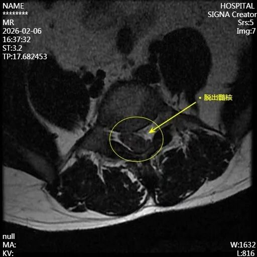
手术核心目标:第一时间快速、彻底地清除突出的髓核组织,解除神经压迫,终止神经进一步损伤,同时稳定脊柱结构,为术后神经功能恢复创造条件。
手术意义:此次手术不仅是缓解疼痛,更是为了挽救受损的神经功能。对于此类急症,手术时机至关重要,越早进行减压,神经功能恢复的可能性就越大。
UBE内镜手术的优点:视野清晰、精准定位、创伤小,脊柱结构稳定,可早期下床活动。
什么是“马尾综合征”?
对于一些人来说,腰腿疼可能只是忍忍就能坚持的隐痛;但对于另一些人,那一瞬间的剧痛,可能是身体发出的最后警报——马尾综合征,一种一旦错过最佳抢救时机,就可能导致终身大小便失禁、瘫痪在床的急症。
在人体脊柱的最末端,有一束形似“马尾”的神经,它掌管着我们的双腿活动、大小便功能以及会阴区的感觉。
当由于巨大的腰椎间盘突出(巨大髓核脱出)、外伤或肿瘤压迫到这一束神经时,就会引发马尾神经损伤(马尾综合征)。它的典型症状不一定是剧烈腰痛,而是一个严重的“预警信号”:
1. 马鞍区麻木:感觉臀部、肛门周围像坐在厚厚的垫子上,失去知觉。
2. 大小便失禁或滞留:无法控制排便,或者排尿费力。
3. 下肢无力:足下垂,行走困难。
注意: 马尾综合征是骨科急症中的急中之急,通常需要在发病24-48小时内紧急手术减压,否则神经损伤将是不可逆的!

脊柱外科主任孙鹏介绍:近期,淄博市第一医院脊柱外科在脊柱急症领域成功诊治多例患者,涵盖脊柱粉碎性骨折伴不全瘫、马尾神经综合征及下肢运动神经根急性损伤等复杂损伤类型。通过迅速启动绿色通道,施行急诊内镜下神经、脊髓减压术,为神经功能恢复赢得了宝贵的“黄金时间”。
(大众新闻·鲁中晨报通讯员 冯志远 王端平)
责任编辑:李中丽
