“肿瘤狙击手” 以前自费十几万,现在医保报销!射波刀到底有多牛?
大众新闻·海报新闻 2026-04-10 14:44:10原创
在抗癌战场上
放射治疗是重要的“武器库”成员
虽能打击肿瘤
但易“误伤”周围健康组织
患者常需忍受口干、吞咽困难
放射性肺炎等副作用
但目前
被誉为“放疗无人机”的射波刀技术
正凭借动态追踪重新定义
肿瘤精准打击新高度
射波刀治疗
到底是如何实现精准放疗
今天,就让我们一起揭开它神秘的面纱
射波刀本质上是一种高度精密的机器人放射外科系统,就像一架装备精良、自主导航的无人机,凭借真正意义上的“动态追踪放疗”,以四大核心技术实现精准打击:
实时影像导航(GPS定位)高分辨率X射线影像和红外光学追踪系统在治疗全程持续运作,结合预先植入的定位金标或患者自身的骨性结构标志,对肿瘤及患者体位进行毫米级实时监控,如同为无人机提供了精确的GPS坐标。
呼吸同步追踪(抗气流干扰)针对随呼吸移动的肿瘤(如肺、肝部肿瘤),射波刀具备先进的呼吸同步技术。它可以实时探测患者的呼吸运动曲线,预测肿瘤下一时刻的位置,引导放射束精确跟随肿瘤移动轨迹发射。就像无人机在气流中自动调整姿态锁定目标,能够避免呼吸导致“脱靶”或扩大照射范围。
灵巧机械臂(机动平台)装载紧凑型直线加速器的六轴工业机械臂拥有远超传统设备的自由度,能从上千个不同角度围绕患者灵活调整位置和照射方向,确保射线束总能以最优路径避开关键器官直击肿瘤。
高精度聚焦打击(精确制导)在实时影像导航和呼吸同步追踪技术双重加持下,系统计算出最佳照射路径,通过非共面、非等中心的多束射线,在肿瘤内部形成超高剂量区,犹如“能量风暴中心”,剂量强度足以摧毁癌细胞,而周围正常组织剂量则快速跌落。这种“立体定向放射外科(SRS/SBRT)”技术,能通过单次治疗完成传统治疗的多次任务,显著缩短疗程。
这种类似无人机的
动态追踪能力
在治疗多种癌症时
已得到验证:
颅内肿瘤:如听神经瘤、脑膜瘤、转移瘤等,它是首选的无创治疗手段之一。
脊柱肿瘤:精准避开脊髓,针对椎体转移瘤或原发肿瘤进行治疗,能够有效缓解疼痛、控制肿瘤。
肺部肿瘤:早期肺癌患者的根治性选择,尤其适用于无法手术者,精准治疗肺转移瘤。
肝脏肿瘤:治疗原发性肝癌或转移瘤,保护正常肝组织。
胰腺癌:在综合治疗中,射波刀技术可应用于局部晚期患者,以缓解疼痛并控制局部病情进展。
前列腺癌:射波刀技术可作为根治性放疗选择,精准保护直肠和膀胱。
射波刀治疗纳入医保根据《山东省医疗保障局关于规范整合放射治疗等15类医疗服务价格项目的通知》(鲁医保发〔2025]39号)和《关于明确部分医疗服务项目价格政策的函》规定,结合我市实际,对放射治疗、康复、精神治疗等15类医疗服务价格项目进行规范整合。
2026年4月1日起,淄博市最新发布放射治疗类医疗服务价格项目表,对光子线调强、立体定向等放疗项目的价格构成、计价规则及加收项目进行了明确调整。本次价格规范整合中,备受关注的射波刀立体定向治疗迎来重磅惠民喜讯,射波刀正式纳入乙类医保支付范围,同时项目价格大幅下调,计价规则清晰透明、加收项目规范统一。
乙类为基本医疗保险支付部分费用的医疗服务项目,射波刀治疗80%纳入医保统筹范围,居民医保达到50%以上,职工医保报销最高可达90%。此次医保落地与价格调整,使高端抗癌技术不再因费用受限,有效减轻了肿瘤患者家属的经济负担,让先进抗癌技术惠及更多参保群众,真正实现了“高精尖技术可及化、惠民化”。
随着人工智能、多模态影像融合
实时剂量监测等技术的不断发展
未来的射波刀将
具备更高的智能水平
其更快的影像处理速度
更精准的运动预测模型
以及更具自适应能力的
治疗计划调整
让这架“放疗无人机”
在抗癌战场上应对自如
为患者带来
更为安全、高效、无创的
全新治疗选择
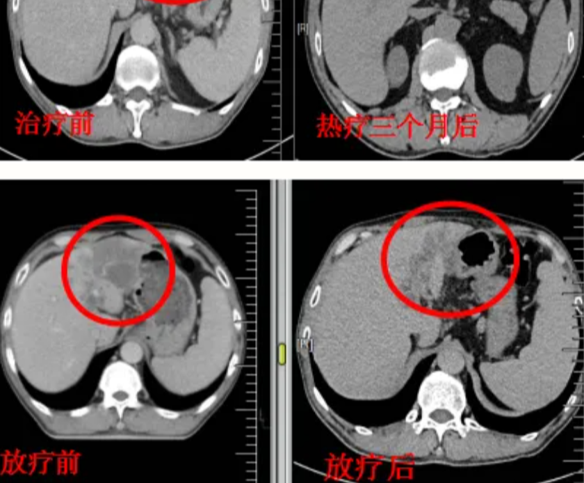
射波刀治疗案例
责任编辑:王雨萌
