济南关节外科医院助七旬老人告别罗圈腿,患者感恩赠锦旗致谢
大众报业·齐鲁壹点 2026-04-10 16:20:21
“今天就要出院啦,太谢谢各位医生护士了,这手术做得我忒满意!”近日,济南关节外科医院住院部内暖意融融,74岁的张阿姨脸上洋溢着久违的明媚笑容,一边分享着康复出院的喜悦,一边将一面印着“医术精湛似华佗,医德高尚暖病患”的锦旗,郑重地送到医护人员手中,以此表达对医院全体医护人员以精湛的医疗技术和贴心细致的护理,帮她摆脱了多年的病痛,重回健康生活的深深谢意。

张阿姨深受膝关节炎困扰多年,近6年来病情愈发严重,不仅走路时关节剧烈疼痛,双腿还逐渐变形。“那时候两条腿弯得厉害,都成了‘罗圈腿’了,走路身子一摇一晃,别说干家务了,就连下蹲都做不到,每天都被病痛折磨,真是遭罪啊。”回忆起病情最严重的日子,张阿姨语气里满是感慨,眼里也泛起了泪光。
为了摆脱病痛、重拾正常行走能力,2025年年底,张阿姨经熟人介绍,慕名来到济南关节外科医院寻求治疗。接诊医生详细询问了她的病史,为她进行了全面细致的检查,最终确诊张阿姨符合膝关节置换手术指征。考虑到张阿姨的年纪及身体情况,为最大限度保障治疗安全和手术效果,医院手术团队反复研讨,制定了个性化治疗方案,决定分两次为张阿姨实施全膝关节置换手术。


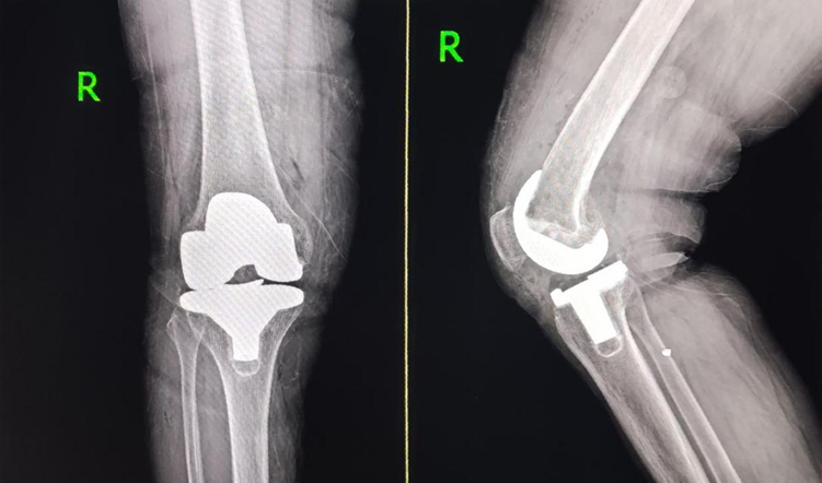
右膝术后

左膝术后
2025年12月、2026年4月,在医院手术团队的精心操作下,张阿姨先后成功接受了右膝、左膝关节置换手术。术后,医院依托先进的快速康复理念和责任制整体护理模式,为张阿姨制定了专属康复计划,医护人员每天定时查房、指导康复训练、关注身体恢复情况。
得益于科学的治疗康复方案和贴心的护理服务,张阿姨的康复效果十分显著,关节屈伸功能得到明显改善,多年的关节疼痛、肢体变形等症状消失,如今已能自主平稳行走。“做完手术变化太明显了,腿变直了,能自由屈伸,走路不疼也不晃了,终于能像正常人一样走路了,效果真的太好了!”张阿姨握着医护人员的手,由衷地赞叹道,言语间满是感激。
济南关节外科医院是一家以骨关节疾病治疗为核心特色的现代化专科医院,诊疗范围涵盖髋、膝、肩、肘、踝、颈腰椎等各类关节疾病,在骨关节疾病诊疗领域深耕多年,积累了丰富的临床经验。尤其在高龄老人髋膝关节置换、重度髋关节脱位矫治、强直性脊柱炎髋膝关节融合,以及脑卒中恢复期、心脏支架植入术后的髋膝关节置换,还有二次甚至三次关节翻修手术等一系列高难度手术领域,医院凭借精湛的技术实力,成功为众多患者解除了病痛。
自2022年引入首台骨科机器人以来,医院持续推进医疗技术升级,逐步开展机器人辅助下的关节置换手术。目前,医院已配备史赛克Mako关节智慧机器人、爱康K3机器人、宽岳HIRO手术机器人、极智EPS全膝关节手术机器人共四台专业骨科机器人,累计完成机器人辅助下全髋、全膝、单髁置换手术500余台。
此外,医院创新性地将骨科机器人技术与DAA微创关节置换术、小切口单髁置换术及快速康复理念相结合,构建起独具特色的“智能+微创无痛关节重建”治疗体系。这套体系打破了传统治疗模式的局限,为患者带来了精准微创、安全无痛、快速康复的优质诊疗体验,赢得了广大患者及家属的广泛好评和认可。健康咨询热线 0531 - 87189799。
责任编辑:焦守广
