IBD支架精准植入 守护患者“性”福生活——泰安市中心医院血管外科成功完成复杂髂动脉瘤腔内修复术
大众报业·齐鲁壹点 2026-04-24 10:51:22
近日,泰安市中心医院血管外科在科主任杜长江带领下,成功为一名中年男性髂动脉瘤患者实施髂动脉分支覆膜支架(IBD)腔内修复术,不仅有效隔绝动脉瘤、排除破裂风险,更完整保留了左侧髂内动脉血流,成功避免了术后血管性阳痿,让患者重获健康与“性”福。目前,该科已常规开展IBD手术十余例,治疗水平位居全省前列。

患者在体检中发现左髂动脉瘤,瘤体累及髂总动脉及髂内动脉近段,直径较大,破裂风险高,具备明确手术指征。术前沟通中患者明确表达了对术后性功能的保留。而临床数据显示,传统主髂动脉瘤腔内治疗常因牺牲一侧髂内动脉,导致约30%–60%的男性患者出现血管性阳痿,严重影响生活质量。

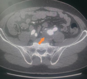
术前CTA

术前CT重建
如何在根治动脉瘤的同时,保住关键的髂内动脉血供?这成为手术成败的核心。经CTA评估,患者左髂总动脉直径超出标准IBD支架适配范围,无法直接植入;但其腹主动脉结构正常,肠系膜下动脉(IMA)却相对粗大,覆膜支架置入后可能会出现Ⅱ型内漏。面对这一复杂解剖挑战,杜长江团队创新制定个体化方案:先行弹簧圈栓塞肠系膜下动脉,再植入腹主动脉覆膜支架主体,巧妙利用其左髂支作为平台,完成IBD系统植入,从而重建并保留左髂内动脉血流。
手术在全麻下进行。团队通过双侧股动脉入路,同时建立左桡动脉通路以确保精准输送。首先超选肠系膜下动脉并完成弹簧圈栓塞;随后依次释放腹主动脉主体支架、右侧髂支及IBD主体支架;最后经桡动脉路径将覆膜支架精准送入左髂内动脉并释放。术中球囊后扩张各连接处,最终造影显示:腹主动脉、双侧髂总、髂外及髂内动脉均通畅,无内漏,瘤腔完全隔绝——手术圆满成功。

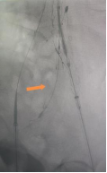
栓塞肠系膜下动脉

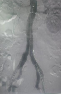
释放左髂内动脉分支

之家释放后扩张

术后左髂内动脉通畅
术后第二天患者即可下床活动、正常进食;阴茎勃起功能未受影响。术后第三天顺利出院。随访至今,患者无不适,性生活恢复正常,对手术效果高度满意。
“以往为了封堵动脉瘤,常常不得不牺牲髂内动脉,很多男性患者因此陷入生理与心理双重困境。”杜长江介绍,“IBD技术的出现,正是为了解决这一难题。它通过分支设计,在隔绝瘤体的同时维持髂内动脉灌注,真正实现‘治病’与‘保功能’并重。”
作为泰安地区血管疾病诊疗高地,泰安市中心医院血管外科近年来持续引进前沿技术,目前已常规开展各类复杂主动脉及髂动脉瘤腔内修复术。此次IBD手术的成功实施,再次彰显了科室在精准化、个体化血管外科治疗方面的综合实力。
未来,科室将继续秉持“以患者为中心”的理念,不断提升微创介入技术水平,让更多动脉瘤患者在远离生命威胁的同时,享有高质量、有尊严的生活,切实践行“医疗满意在人民”的庄严承诺。
(山东省泰安市中心医院)
(齐鲁晚报·齐鲁壹点客户端欢迎各界投稿,提供线索,包括文字、照片、短视频。泰安新闻素材请联系齐鲁晚报泰安融媒中心,热线电话:0538-6982110。)
责任编辑:赵晴
