“一针消融”帮你摆脱顽固性头痛
大众报业·齐鲁壹点 2026-04-27 04:03:06
你是否经常感到
后脑勺、太阳穴甚至眼睛周围隐隐作痛
尝试了各种止痛药
效果却不理想
当心,这可能是你的脖子在“求救”
我们虽然是头在痛
根源却并不一定是头
也可能是我们的颈椎在报警

颈源性头痛
颈源性头痛是起源于颈部结构的头痛。当颈椎、肌肉或神经受到刺激时,疼痛信号会“辐射”到头部,让你误以为是头本身在痛。
这类头痛占复发性头痛的15%-20%,却常常被忽视或误诊。
识别颈源性头痛的线索
1.疼痛路径明确:从后颈/发际线开始→头顶/太阳穴→眼眶周围。
2.姿势相关性:长时间低头、久坐后加重,休息后缓解。
3.颈部活动受限:转头、仰头时疼痛加剧。
4.单侧为主:80%病例为单侧疼痛,但也可双侧。
5.按压痛点:按压颈后肌肉可诱发或加重头痛。
为什么会得颈源性头痛?
姿势不良(主要诱因):长期“低头族”、电脑前探颈姿势。
颈椎退变:椎间盘突出、小关节紊乱。
肌肉劳损:颈后肌肉群持续紧张、痉挛。
神经受刺激:枕大神经、枕小神经受压。
外伤史:挥鞭样损伤、跌倒撞击。

一分钟自我筛查
轻轻按压颈后肌肉(风池穴区域)是否诱发头痛?
缓慢左右转头是否感到疼痛加重?
回忆头痛是否常在长时间用电脑/手机后出现?
简单缓解方法
1.热敷法:热水袋敷颈后15分钟,放松肌肉。
2.微运动法:缓慢做“收下巴”动作,保持5秒,重复10次。
3.穴位按压:用拇指按压风池穴(颈后发际两侧凹陷处)2分钟。
微创介入手术治疗
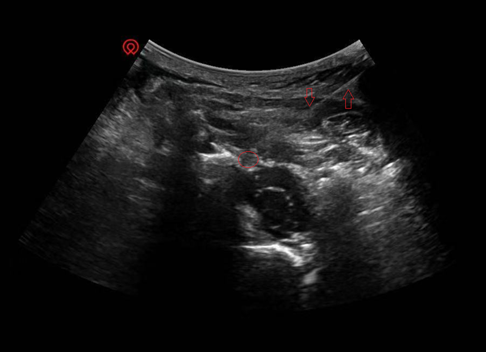
对顽固性颈源性头痛患者,潍坊市中医院疼痛科开展了介入治疗,超声引导下颈2背根节射频消融术。
颈2背根神经节是上传后枕部感觉的“第一站中转站”,也是与三叉神经发生“信号混淆”的关键节点。当颈部结构长期劳损、炎症刺激或受到卡压时,这个“中转站”会变得异常兴奋,持续向大脑发送错误的疼痛信号。因此,调节它的兴奋性,就成为治疗的核心。
圆圈为颈2背根神经节,箭头为穿刺射频针
技术优势
1、靶向阻断疼痛通路
射频治疗的目的在于利用热凝或脉冲模式,精准调控该神经节,阻断异常疼痛信号上传,从而直接解决头痛的“根源性”神经机制,而非单纯止痛。
2、选择性功能调节
射频治疗特别是脉冲射频模式,意义在于能够选择性阻断痛觉传导(C类纤维),同时最大程度保留触觉及运动神经功能。
3、提供微创且可重复的治疗阶梯
对于长期依赖口服止痛药(如非甾体抗炎药、曲普坦类)但效果欠佳或无法耐受副作用的患者,该治疗提供了微创介入的进阶选择。其创伤仅针眼大小,不改变解剖结构,若因病程长导致神经功能再次敏化,在条件允许下还可重复治疗。
温馨提示
本文提供医学知识科普,不能替代专业诊疗建议。个体情况请咨询医疗专业人员。(来源 潍坊市中医院)
责任编辑:刘炳文
