“一站式”微创取石,攻克复杂结石难题,青岛市海慈中医医疗集团泌尿外科守护肾脏健康
齐齐探医 | 2026-04-28 20:24:45 原创
半岛网4月28日讯 (记者 纪豪杰)近日,青岛市海慈中医医疗集团泌尿外科成功为一名双侧输尿管结石+右肾巨大铸型结石患者实施“一站式”微创取石手术,一次性清除全部结石,实现无管化快速康复,以精湛技术为疑难泌尿系结石患者带来福音。
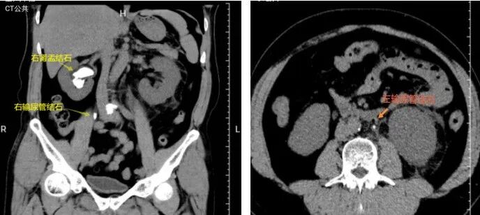
患者宋先生1月前因腰腹痛急诊入院,检查发现双侧输尿管上段结石、双肾结石伴肾盂积水,其中右肾结石为约4cm×3cm×2cm铸型结石,同时合并急性肾功能不全、肾积脓感染,病情危急,随时可能进展为急性肾衰竭、感染性休克。

集团泌尿外科盖文涛主任团队立即启动急诊救治,为患者局麻下双侧经尿道输尿管支架置入术,快速解除梗阻、控制感染,患者肾功能与感染指标迅速恢复正常。待病情稳定后,团队为其制定个体化微创方案,经尿道输尿管镜双侧输尿管结石激光碎石术+右侧微通道经皮肾镜激光碎石取石术(mPCNL),一次手术同步解决双侧输尿管结石与右肾巨大铸型结石。

手术全程顺利,右肾铸型结石仅用时40分钟高效击碎清除;术后采用无管化处理,不留置肾造瘘管,皮肤切口仅0.8cm;患者尿液澄清、无明显出血,术后1天即可正常下地活动。

术后复查CT右肾铸型结石完全清除,无结石残留
作为省级重点学科,泌尿外科常规开展泌尿系结石微创治疗,核心技术优势突出。微通道经皮肾镜(mPCNL),碎石效率高、手术时间短,适合>2cm肾结石、铸型/鹿角结石、结石负荷大、输尿管狭窄等复杂病例,覆盖所有需手术干预的肾结石;经尿道输尿管镜碎石(URL),硬镜+软镜联合,适合全段输尿管结石与<2cm肾结石,处理ESWL失败、嵌顿、X线阴性结石更具优势;前沿FANS技术,输尿管软镜联合末端可弯曲负压吸引输尿管鞘技术(FANS技术),将传统软镜的“单纯碎石”升级为“边碎边吸、高效清石”,术野清晰,清石更快更彻底,保持术中肾盂内低压,术后感染风险更低。FANS技术将输尿管软镜适应症扩大至3cm肾结石,进一步拓展微创治疗范围。
科室配备钬激光、EMS、体外冲击波碎石机、输尿管软镜、末端可弯曲负压吸引输尿管鞘等全套碎石清石设备,形成体外碎石+输尿管镜+经皮肾镜+输尿管软镜全流程微创体系,为疑难、复杂、多发泌尿系结石患者提供一站式解决方案,以最小创伤、最快康复、最优效果守护患者泌尿健康。
专家团队

盖文涛
主任医师
集团本部泌尿外科主任,主任医师,医学博士,毕业于山东大学医学院,从事泌尿外科临床工作20余年,曾在北京301医院泌尿外科进修。兼任山东省医学会泌尿外科分会委员,山东省中西医结合学会泌尿外科分会副主任委员,山东省医师协会泌尿外科分会中西医结合学组副组长,山东省中医药学会泌尿外科分会副主任委员,山东省研究型医院协会泌尿系结石分会副主任委员,山东省研究型医院协会泌尿肿瘤学分会常委,山东省医学会男科学分会委员,青岛市中西医结合学会泌尿外科分会副主任委员,青岛市老年医学会泌尿外科专委会副主任委员,青岛市健康科技协会泌尿外科分会副主任委员,青岛市医学会泌尿外科分会感染与尿控学组副组长等。
擅长:前列腺增生、泌尿系结石、泌尿系肿瘤(包括肾上腺肿瘤、肾肿瘤、输尿管肿瘤、膀胱肿瘤和前列腺肿瘤)的腔镜微创手术治疗以及女性压力性尿失禁、儿童隐匿性阴茎的手术矫形治疗和膀胱癌、前列腺癌的综合治疗。
坐诊时间:
周三上午、周四下午(本部院区)

王友宝
主任医师
集团平度院区泌尿外科主任兼首席专家,主任医师。毕业于同济医科大学,曾在美国加州大学洛杉矶分校和新加坡中央医院进修学习。兼任青岛市泌尿外科学会、男科学会副主委,山东省中西医结合泌尿外科学会副主委,山东省中医药学会男科分会副主委,山东省泌尿外科学会、男科学会委员。
擅长:腹腔镜肿瘤根治手术,泌尿系结石微创手术和中医药治疗,经尿道前列腺等离子电切术,以及男性不育、性功能障碍、慢性前列腺炎等疾病的中西医结合治疗等。
坐诊时间:
周五下午(本部院区泌尿外科)
周五上午(本部男科门诊)
周四全天(北院区)
周一上午、周三下午(平度院区)

韩韬
主任医师
集团本部泌尿外科主任医师,集团外二党总支书记,青岛大学医学院兼职教授,青岛大学硕士研究生导师,青岛市优秀青年医学专家,兼任新家坡泌尿外科会员。先后在德国肯普滕医学中心研修、新加坡中央医院研修。山东省中西结合泌尿外科学会常务委员,青岛市循证医学会副主任委员。
擅长:各类微创手术,包括经尿道前列腺切除、膀胱镜下膀胱肿瘤切除,肾肿瘤切除,腹腔镜肾上腺切除、输尿管镜下钬激光碎石,PCNL,腹腔镜输尿管结石切开取石术等微创手术。对男性不育、性病也有深入研究。在山东省率先开展经尿道ALLIUM前列腺支架植入术治疗高龄高危前列腺增生症。
坐诊时间:
周一上午、周三下午(本部院区)

祝昌明
主任医师
集团本部泌尿外科副主任,主任医师,医学硕士,青岛市优秀青年医学专家,先后在北医三院、浙江大学第一附属医院、湘雅医院进修学习,兼任山东省中西医结合泌尿外科委员、中华医学会山东省泌尿外科青年委员、山东省男科青年委员、青岛市泌尿外科委员、青岛市男科委员、青岛市移植学会委员、中国性学会委员。
擅长:腹腔镜下泌尿系肿瘤的微创治疗,泌尿系结石、前列腺增生的微创治疗,男科疾病的诊治。
坐诊时间:
周二全天(本部院区)

来晓东
副主任医师
集团泌尿外科副主任(平度工作),副主任医师,曾于301医院进修泌尿外科微创治疗技术,清华长庚医院学习泌尿结石的经皮肾镜及输尿管软镜积水。任山东省医学会泌尿外科专业委员会肿瘤学组委员、山东省医师协会结石委员会委员。核心期刊发表医学论文多篇。主持完成科技成果2项。
擅长:泌尿男生殖系肿瘤、泌尿系结石、前列腺等疾病的诊断和治疗;开展多项腹腔镜泌尿系统手术,复杂结石诊治及前列腺增生的激光治疗等高难度手术。
坐诊时间:
周日下午(本部院区)

曲江磊
副主任医师
北院区泌尿外科学科负责人,副主任医师,医学硕士。兼任山东省第五届男科学分会前列腺学组委员,山东省医学伦理学会泌尿外肿瘤外科分会委员,山东省医师协会泌尿外中西医结合学组委员,青岛市抗癌协会第一届泌尿生殖系统肿瘤专业委员会委员,青岛市医学会第六届泌尿外科学分会肾肿瘤学组委员等。
擅长:腹腔镜肿瘤手术,泌尿系结石微创手术和中医药治疗,经尿道前列腺等离子电切术。以及男性不育、性功能障碍、慢性前列腺炎等疾病的中西医结合治疗等。
坐诊时间:
周一上午(本部院区)
周二、周三全天(北院区)

徐向前
副主任医师
集团本部泌尿外科副主任医师,医学硕士,医学理论知识扎实,临床经验丰富。
擅长:开展腹腔镜、输尿管镜、电切镜等微创泌尿外科技术,擅长对泌尿系结石、肾上腺肿瘤、肾癌、膀胱癌、前列腺癌、前列腺增生的微创治疗,以及肾移植相关疾病治疗。
坐诊时间:
周一下午、周四上午(本部院区)

郭晓刚
副主任医师
集团本部泌尿外科副主任医师,兼任山东省医师协会前列腺外科委员会委员、山东省康复医学会泌尿盆底疾病委员会委员、山东省中西医结合泌尿外科学会委员、青岛市中西医结合委员会委员、青岛市肿瘤学会委员。
擅长:前列腺增生、膀胱肿瘤、肾肿瘤的微创治疗,泌尿系结石的微创治疗;前列腺癌的内分泌及中西医综合治疗。中西医辨证施治前列腺炎、尿频、尿急、泌尿结石、盆底功能障碍、男科疾病。
坐诊时间:
周日上午(本部院区)

王磊
副主任医师
青岛大学医学院硕士研究生毕业,副主任医师,曾在北京大学第三医院进修,主要学习泌尿内镜诊疗技术及男科诊疗技术,现为山东省医学会男科委员会委员,山东省中西医结合学会第三届男科委员会委员,青岛市医学会男科学专科分会委员会委员,青岛市抗癌协会泌尿男生殖系统肿瘤委员会委员。参与省级课题一项,发表论文5篇。
擅长:泌尿外科、男科的微创腔镜诊疗技术。
坐诊时间:
周五上午(本部院区)
责任编辑:孙贴静
