威海市立医院疼痛科成功开展周围神经电刺激技术治疗神经痛
大众报业·齐鲁壹点 2026-04-30 13:38:50
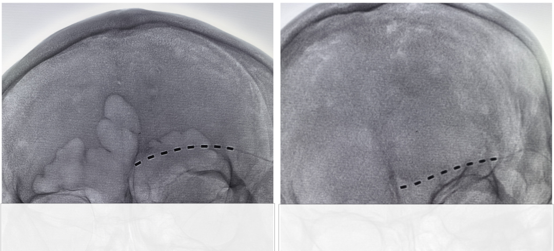
近日,山东大学附属威海市立医院疼痛科顺利为两名长期受神经痛困扰的老年患者实施了眶上神经电刺激植入术,显著缓解了患者的疼痛症状,标志着医院在面部难治性神经病理性疼痛的微创诊疗领域再上新台阶。两名患者均为老年人,曾患额面部带状疱疹,疱疹愈合后仍遗留额部三叉神经支配区剧烈疼痛。疼痛表现为烧灼样、电击样、刀割样,并伴有频繁、突发、难以控制的爆发性剧痛。患者自述“痛不欲生”,因持续疼痛和频繁发作,昼夜无法入睡,不敢睁眼,不敢触碰额部,同时伴有焦虑、抑郁情绪,生活质量严重受损。患者此前曾先后接受镇痛药物、中医中药、神经阻滞等常规保守治疗,疼痛均未得到有效控制,遂慕名来市立医院疼痛科就诊。科室专家团队对患者进行系统、细致的评估后,决定采用眶上周围神经电刺激微创植入术进行靶向镇痛治疗。
周围神经电刺激(Peripheral Nerve Stimulation, PNS)是目前国际公认的微创、可逆、可调、非毁损性神经调控镇痛技术。本两例患者的病变主要累及眶上神经支配区,眶上周围神经电刺激具有靶向性强、安全性高、疗效确切的优势,尤其适用于高龄、基础疾病多、难以耐受高风险治疗的老年患者。手术在局部麻醉下进行,经皮微创穿刺将微小电极精准植入眶上神经走行区域,通过低频温和的电刺激调控痛觉神经传导通路,阻断异常疼痛信号上传,从而抑制神经病理性疼痛及爆发痛。该术式不损伤神经、不破坏组织,患者术中保持清醒,创伤小、恢复快。经过规范的程控治疗,患者剧烈的电击样、烧灼样疼痛明显减轻,爆发痛发作频率及程度显著下降甚至消失。患者能够安稳入睡,正常睁眼活动,触碰额部不再引发剧痛,焦虑情绪明显缓解,日常生活逐步恢复正常。
脊髓电刺激及周围神经电刺激技术的成功开展,充分体现了市立医院疼痛科规范化、精准化、微创化的疼痛诊疗水平,为威海及周边地区广大疼痛患者提供了更多、更优的治疗选择。目前,市立医院疼痛科开展的各项微创治疗技术,已实现对神经病理痛、脊柱关节痛、肌肉筋膜痛、癌痛等各类疼痛疾病治疗手段的全覆盖。未来,科室将继续严格遵循权威诊疗指南,持续推进各项神经调控先进技术的应用,为威海及周边地区广大顽固性疼痛患者提供更加安全、高效、优质的个体化疼痛诊疗服务,帮助患者摆脱顽痛折磨,重获舒适、健康、有质量的生活。
(来源:威海市立医院)
责任编辑:王震
